Mathews Journal of Nutrition & Dietetics

2474-7475

Previous Issues Volume 1, Issue 1 - 2016

Case Report Abstract PDF  

Pathophysiological Changes With Aging in a Novel Obese Diabetic Rat

Ohta T1 , Shinohara M2 , Gotoh T3 , Yamada T4 , Miyajima K1,5

1Biological/Pharmacological Research Laboratories, Central Pharmaceutical Research Institute, Japan Tobacco Inc., Osaka, Japan.

2Tokyo Animal & Diet Department, CLEA Japan Inc., Tokyo, Japan.

3Technical Service Department, CLEA Japan Inc., Shizuoka, Japan.

4Laboratory of Animal Genetics, Graduate School of Science and Technology, Niigata University, Niigata, Japan.

5Department of Nutritional Science and Food Safety Faculty of Applied Biosciences, Tokyo University of Agriculture, Tokyo, Japan.

Corresponding Author: Takeshi Ohta, Biological/Pharmacological Research Laboratories, Central Pharmaceutical Research Institute, Japan Tobacco Inc., 1-1 Murasaki-cho, Takatsuki, Osaka 569-1125, Japan, Tel: +81-72-681-9700; E-Mail: [email protected]

Received Date:  01 April 2016     Accepted Date: 09 May 2016    Published Date: 4 May 2016

Copyright © 2016 Ohta T

Citation: Ohta T, Shinohara M, Gotoh T, Yamada T, et al. (2016). Pathophysiological Changes With Aging in a Novel Obese Diabetic Rat. Mathews J Nutr Diet. 1(1): 004.

ABSTRACT

The Spontaneously Diabetic Torii (SDT) fatty rat develops hyperglycemia and dyslipidemia from a young age, leading to diabetic complications, such as nephropathy, retinopathy, neuropathy, and non-alcoholic steatohepatitis (NASH). In this study, we investigated pathophysiological changes in female SDT fatty rats at 65 weeks. Hyperglycemia and hyperlipidemia were sequentially observed in the rats, and blood insulin, alanine aminotransferase (ALT) and aspartate aminotransferase (AST) levels were also increased. Histopathological analyses were performed in the liver, kidney, heart and eye. Pathological findings, such as focal and/or diffuse hypertrophied hepatocytes with fatty changes, and very slight inflammation and fibrosis in the liver, were observed in the rats. Glomerular and tubular lesions in the kidney and corneal lesions were also observed; however, the NASH-like lesions tended to diminish compared with those at 40 weeks. As new findings associated with age, corneal lesions such as inflammation, vascularization and fibrosis, and increased cardiac fibrosis were observed in the aging rats. The aging female SDT fatty rat may be useful in better understanding the pathophysiology and development of new therapies in chronic kidney disease (CKD), diabetic ocular lesions and diabetic cardiomyopathy. Diet manipulation is also necessary for the acceleration of characteristic diseases.

KEYWORDS

Aging; Diabetes; Diabetic Complication; Spontaneously Diabetic Torii fatty rat.

INTRODUCTION

Diabetes mellitus and obesity are common metabolic disorders, and this population of patients is rapidly increasing worldwide [1, 2]. Among the factors related to the increasing prevalence of this disease are consumption of high calorie diets and sedentary lifestyles [3]. Furthermore, the growing population of patients with diabetes and obesity has resulted in a rapid increase in the number of patients who have diabetic complications, such as nephropathy, retinopathy, and neuropathy [4, 5]. Despite efforts to develop means to suppress or treat the incidence and progression of these diseases, the effects and results remain poor [6].  Various animal models for diabetes and obesity have been established to help better understanding the pathophysiology in metabolic diseases and to develop new therapies. The Spontaneously Diabetic Torii (SDT) fatty rat was established by introducing the fa allele of the Zucker fatty rat into the nonobese SDT rat genome [7, 8]. The SDT fatty rat develops obesity, hyperglycemia, and dyslipidemia at a young age. Furthermore, with the early incidence of diabetes, diabetes-related complications in the SDT fatty rat are seen at a younger age compared with other obese diabetic models [7, 9, 10]. However, we have not examined the long-term changes of diabetic complications, keep, deterioration, or remission. In this study, we investigated the pathophysiological changes in the aging female SDT fatty rat.

MATERIALS AND METHODS

Five female SDT fatty rats at 65 weeks of age from CLEA Japan (Tokyo, Japan) colonies were used in the study. All animal procedures and the protocol complied with the guidelines for animal experimentation set by the Ethics Committee for Animal Use in CLEA Japan. The rats were maintained in a climate-controlled room at a temperature of 23 ± 3°C, humidity 55 ± 15%, and a 12h/12h light-dark cycle. The rats had free access to a standard diet (CE-2, diet composition; moisture 8.9%, crude protein 24.9%, crude fat 4.6%, crude fiber 4.1%, crude ash 6.6%, nitrogen free extracts 51.0%; CLEA Japan, Tokyo, Japan) and water. The rats were anesthetized with isoflurane inhalation before the blood sampling and the necropsy. On the day of the necropsy, body weights were measured, and blood samples were collected from the abdominal aorta under non-fasted conditions to determine blood chemistry parameters, such as glucose, triglyceride (TG), total cholesterol (TC), blood urea nitrogen (BUN), creatinine, alanine aminotransferase (ALT), aspartate aminotransferase (AST), and insulin levels. Serum glucose, TG, TC, BUN, creatinine, ALT, and AST were measured using commercial kits (Roche Diagnostics, Basel, Switzerland) in an automatic analyzer (Hitachi, Tokyo, Japan). Serum insulin was measured using a commercial ELISA kit (Morinaga Institute of Biological Science, Yokohama, Japan). The liver, kidneys, heart and eyes were fixed in 10% neutral-buffered formalin. After resection, tissues were paraffin-embedded and subsequently thin-sectioned (3-5 µm) as previously reported [9, 10]. The sections were stained with hematoxylin and eosin (HE) for histological analyses. The liver, kidney and heart were stained with Sirius-Red to evaluate fibrosis.

RESULTS AND DISCUSSION

Five female SDT fatty rats were prepared for this study, but two rats died from 55 to 60 weeks of age. Individual biological data in the remaining three rats is shown in Table 1. Obesity, hyperglycemia and hyperlipidemia were observed in the aging rats, and blood insulin, ALT and AST levels were higher than those in Sprague-Dawley (SD) rats (preliminary data, mean values in four SD rats at 32 weeks of age, body weight, 388.1 g; glucose, 140 mg/dl; TG, 233.4 mg/dl; TC, 102.2 mg/dl; insulin 0.94 ng/ml; ALT, 35.4 IU/l; AST, 58.3 IU/l). Similar pathophysiological changes, such as hyperglycemia, dyslipidemia, and hyperinsulinemia, were reported in female SDT fatty rats at 40 weeks of age (mean values, glucose, 592.7 mg/dl; TG, 1215.0 mg/dl; TC, 299.9 mg/dl; insulin, 5.24 ng/ml; ALT, 183.1 IU/l; AST, 116.7 IU/l). BUN was lower level, while there was a large variation in creatinine levels (preliminary data, mean values in four SD rats at 32 weeks of age, BUN, 36.3 mg/dl; Creatinine, 0.80 mg/dl). TG level in the rat No.2 was 6960.4 mg/dl and the creatinine level was 13.52 mg/dl. Those levels were about ten or fifty times higher than the rest of the two rats (No.1 and No.3), and showed remarkable higher levels as compared with preliminary data on the younger groups of SD or SDT fatty rats (mean values in female SDT fatty rats at 40 weeks of age, TG, 1215.0 mg/dl; Creatinine, 0.29 mg/dl).

Table 1: Biological parameters of female SDT fatty rats at 65 weeks of age.

Animal No. Body weight(g) Glucose (mg/dl) Insulin (ng/ml) TG (mg/dl) TC (mg/dl) BUN (mg/dl) Creatinine (mg/dl) ALT (IU/l) AST (IU/l)
1 704.1 504 2.75 684.6 158.0 15.6 0.26 69.6 167.8
2 724.0 356 1.17 6960.4 122.2 18.8 13.52 247 122.0
3 505.7 478 6.02 245.2 128.8 22.0 0.22 77.4 157.2

Pathological findings, such as focal and/or diffuse hypertrophied hepatocytes with fatty changes, and very slight inflammation and fibrosis in the liver, were observed. Recently, the female SDT fatty rat reportedly showed non-alcoholic steatohepatitis (NASH)-like lesions from 32 to 40 weeks of age [11]. Surprisingly, in this study, the histopathological features of NASH-like lesions in aging female SDT fatty rats were ameliorated compared with those at 40 weeks of age. An intense approach to life-style changes can reportedly induce a desired weight loss of 7-10%, associated with reduced liver fat, NASH remission, and also a reduction in fibrosis [12]. It is necessary to investigate the mechanism of remission in NASH-like lesions in the SDT fatty rat in further studies In the kidney, histopathological findings such as glomerular hypertrophy, glomerularsclerosis, mesangiolysis, tubular degeneration that includes Armani-Ebstein changes, tubular dilation, and urinary casts were observed in the aging rats. These renal findings were enhanced in aging rats compared with findings previously reported at 40 weeks of age in female SDT fatty rats [9]. Furthermore, tubular interstitial lesions, including fibrosis and inflammatory cell filtration, were observed at 65 weeks of age (Figure 1).

Figure 1: Histological analyses of the kidney in female SDT fatty rats at 65 weeks of age (the rat No. 2). Severely progressed glomerular (A) and tubulointerstitial (B) lesions. HE staining. Bar = 100 µm (A). Bar = 200 µm (B).

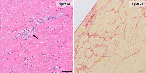
Histological photograph in the rat No. 2 is shown as a typical example. The rat No. 2 showed the most intensive changes in biological parameters (Table 1) as above mentioned. Tubular interstitial lesions are common pathological changes in chronic kidney disease (CKD), and renal changes are important findings when considering the pathogenesis of CKD progression.  In the heart, a slight increase in myocardial degeneration and fibrosis was observed (Figure 2). For the Sirius-red stains, an apparent increase in cardiac fibrosis was detected in the aging rats (Figure 2B). These findings were considered to indicate the potential for diabetic cardiomyopathy associated with hypertension in SDT fatty rats.

Figure 2: Histological analyses of the heart in female SDT fatty rats at 65 weeks of age (the rat No. 2). Myocardial degeneration (A) and fibrosis (B). HE staining (A). Sirius-Red staining (B). Bar = 100 µm.

In the eye, severe cataracts were observed in all animals, while cataract-related changes were only observed in female SDT fatty rats at 40 weeks of age [9]. Histopathological findings in the retina were not observed in the aging rats. However, retinal lesions, such as folding and thickening, were reportedly observed in male SDT fatty rats at 50 weeks of age [7]. The difference in retinal lesions was considered to be associated with the breeding environment and there is a necessity to clarify this finding during development. As new findings in the eyes that can be observed in aging SDT fatty rats, corneal lesions such as inflammation, and vascularization and fibrosis were detected along with cystic lesions in the corneal surface (Figure 3). Diabetic keratopathy is one of the ocular complications secondary to type 2 diabetes and is a finding that includes slow healing or loose adhesion of the corneal epithelium after wounding [13]. Diabetic keratopathy is reportedly observed in 50% or more of diabetic patients and sometimes induces vision-threatening corneal complications, including persistent epithelial defects [14, 15]. In normal SD rats, pathological changes observed in the pancreas, kidney, and eye have not been observed.

Figure 3: Histological analyses of the eye in female SDT fatty rats at 65 weeks of age (the rat No. 2). Corneal lesions, such as inflammation, vascularization, and fibrosis, associated with cystic lesions. HE staining. Bar = 200 µm

The obese type 2 diabetic rat models also represent various diabetic complications [7]. Renal lesions in tubuli and glomeruli are observed in Otsuka Long-Evans Tokushima fatty (OLETF), Wistar fatty, and Zucker diabetic fatty (ZDF) rats. Nodular lesions in glomeruli are notable changes in OLETF and SDT fatty rats. Ocular lesions, such as cataract and retinal capillary lesion, are observed in OLETF and ZDF rats. Among retinal changes, folding and thickening are interesting findings in SDT fatty rats. Moreover, other diabetic complication, osteoporosis and sexual dysfunction, are observed in OLETF and ZDF rats as well as SDT fatty rat.  In this study, we investigated the pathophysiological changes using three rats at 65 weeks of age. It is difficult to keep the SDT fatty rats for a long term because of development of diabetes-related diseases. In further study, more animals are prepared, and the reproducibility of this study and the periodical changes should be confirmed. Pathophysiological analysis in the aging male SDT fatty rat is also essential to elucidate the characters of this model.

CONCLUSION

The aging female SDT fatty rat may be useful to better understand the pathophysiology and develop new therapies for CKD, diabetic ocular lesions and diabetic cardiomyopathy. Furthermore, diet manipulation by loading energy-dense diets, including fat and sucrose, is needed to accelerate characteristic diseases, thereby leading to effective studies.

REFERENCES

  1. King H, Aubert RE and Herman WH. (1998). Global burden of diabetes, 1995-2025: prevalence, numerical estimates, and projections. Diabetes Care. 21, 1414-1431.
  2. Yoon KH, Lee JH, Kim JW, Cho JH, et al. (2006). Epidemic obesity and type 2 diabetes in Asia. Lancet. 368(9548), 1681- 1688.
  3. Schrauwen P and Hesselink MK. (2008). Reduced tricarboxylic acid cycle flux in type 2 diabetes mellitus? Diabetologia. 51(9), 1694-1697.
  4. Hall JE, Kuo JJ, da Silva AA, de Paula RB, et al. (2003). Obesity- associated hypertension and kidney disease. Curr Opin Nephrol Hypertens. 12(2), 195-200.
  5. Ritz E and Stefanski A. (1996). Diabetic nephropathy in type II diabetes. Am J Kidney Dis. 27(2), 167-194.
  6. Calcutt NA, Cooper ME, Kern TS and Schmidt AM. (2009). Therapies for hyperglycaemia-induced diabetic complications: from animal models to clinical trials. Nat Rev Drug Discov. 8(5), 417-429.
  7. Katsuda Y, Ohta T, Miyajima K, Kemmochi Y, et al. (2014). Diabetic complications in obese type 2 diabetic rat models. Exp Anim. 63(2), 121-132.
  8. Masuyama T, Katsuda Y and Shinohara M. (2005). A novel model of obesity-related diabetes: introgression of the Lepr (fa) allele of the Zucker fatty rat into nonobese Spontaneously Diabetic Torii (SDT) rats. Exp Anim. 54(1), 13-20.
  9. Ishii Y, Ohta T, Sasase T, Morinaga H, et al. (2010). Pathophysiological analysis of female Spontaneously Diabetic Torii fatty rats. Exp Anim. 59(1), 73-84.
  10. Matsui K, Ohta T, Oda T, Sasase T, et al. (2008). Diabetesassociated complications in Spontaneously Diabetic Torii fatty rats. Exp Anim. 57(2), 111-121.
  11. Ishii Y, Motohashi Y, Muramatsu M, Katsuda Y, et al. (2015). Female spontaneously diabetic Torii fatty rats develop nonalcoholic steatohepatitis-like hepatic lesions. World J Gastroenterol. 21(30), 9067-9078.
  12. Marchesini G, Petta S and Grave DR. (2015). Diet, weight loss, and liver health in nonalcoholic fatty liver disease: Pathophysiology, evidence, and practice. Hepatology.
  13. Schultz RO, Van Horn DL, Peters MA, Klewin KM, et al. (1981). Diabetic keratopathy. Trans Am Ophthalmol Soc. 79, 180-199.
  14. Perry HD, Foulks GN, Thoft RA and Tolentino FI. (1978). Corneal complications after closed vitrectomy through the pars plana. Arch Ophthalmol. 96(8), 1401-1403.
  15. Zagon IS, Klocek MS, Sassani JW and McLaughlin PJ. (2007). Use of topical insulin to normalize corneal epithelial healing in diabetes mellitus. Arch Ophthalmol. 125(8), 1082-1088.

Creative Commons License

© 2015 Mathews Open Access Journals. All Rights Reserved.

Open Access by Mathews Open Access Journals is licensed under a
Creative Commons Attribution 4.0 International License.
Based On a Work at Mathewsopenaccess.com