Mathews Journal of Case Reports

2474-3666

Previous Issues Volume 10, Issue 4 - 2025

Total Knee Arthroplasty in a Patient with Extensive Subcutaneous and Intra-Articular Tophaceous Gout: A Case Report

Udit Kapoor1,*, Rajiv Thukral2

1Metro Heart Institute and Medical Centre, Faridabad, India

2Director, Orthopaedics-Yatharth Hospital, Faridabad, India

*Corresponding Author: Udit Kapoor, Metro Heart Institute and Medical Centre, Faridabad, India, Phone: +91-8527154320, E-mail: [email protected]

Received Date: August 15, 2025

Published Date: October 22, 2025

Citation: Kapoor U, et al. (2025). Total Knee Arthroplasty in a Patient with Extensive Subcutaneous and Intra-Articular Tophaceous Gout: A Case Report. Mathews J Case Rep. 10(4):213.

Copyrights: Kapoor U, et al. © (2025).

ABSTRACT

Total knee arthroplasty (TKA) is a well-established procedure for managing advanced arthritis, including chronic gouty arthritis. While tophaceous gout is a recognized cause of joint destruction, the simultaneous presence of extensive subcutaneous and intra-articular tophi is uncommon and presents unique surgical challenges. Case Presentation: A 63-year-old male presented with a six-year history of bilateral knee pain that was dull, and aggravated by walking with no relieving factors. Clinical examination revealed a fixed flexion deformity of 45° bilaterally, with flexion limited to 90°. The patient underwent successful bilateral TKA; however, several intraoperative difficulties were encountered. Large crystalline deposits were observed in both the articular and periarticular regions upon patellar eversion. These deposits were soft, whitish, cheesy, and gritty. Their extensive presence complicated flexion, patellar eversion, identification of the menisci, full extension, and wound closure. All visible tophi were thoroughly excised and sent for histopathological analysis. Postoperative Course: Postoperatively, the patient developed anaemia, leukocytosis, and renal impairment. Bone marrow aspiration revealed hypercellular marrow with trilineage hematopoiesis and increased reticuloendothelial activity, leading to a diagnosis of hemolytic uremic syndrome (HUS). The patient responded well to supportive care and initiated physiotherapy. At follow-up, he had functional recovery with improved joint motion. Conclusion: This case highlights the complexity of managing advanced tophaceous gout with extensive crystal deposition during TKA. Thorough surgical debridement and vigilant postoperative monitoring are essential for successful outcomes in challenging cases.

Keywords: Gouty Arthritis, Total Knee Arthroplasty, Fixed Flexion Deformity, Tophaceous Gout, Joint Replacement.

INTRODUCTION

Total knee arthroplasty (TKA) (Kellgrene and Laurence grade 4) is commonly indicated for end-stage knee arthritis, including that caused by chronic gout. Gout is a disorder of purine metabolism resulting in monosodium urate crystal deposition within joints and soft tissues, leading to inflammation and joint destruction [1].

Tophi represent chronic urate deposition and are typically a late manifestation of gout. Subcutaneous tophi may occur even before the first gouty arthritis episode [2]. Radiologically, gout often presents with “punched-out” erosions without periarticular osteopenia [3].

In patients with TKA, the diagnosis of gouty flares or tophaceous involvement becomes more complex due to altered joint anatomy. Although joint aspiration is the definitive diagnostic method for gout, its role in prosthetic joints is limited. Differentiating crystal arthropathy from infection remains a significant clinical challenge.

CASE PRESENTATION

A 63-year-old male presented with bilateral knee pain persisting for six years. The pain was described as dull, intermittent, and aggravated by walking or bending. There were no relieving factors. Physical examination revealed a fixed flexion deformity of 45° bilaterally, with further flexion possible only up to 90°.

Following appropriate preoperative evaluation for comorbidities, the patient underwent bilateral TKA. An extended midline skin incision was made, and the skin and subcutaneous tissue were dissected. A medial parapatellar approach was used, and the patella was everted. The suprapatellar fat pad was removed. There was extensive subcutaneous and intra-articular tophaceous crystals which was removed. Thorough wash was given with 2 liters NS and made sure that there is no crystal left behind.

TKA was performed (tibial preparation using extramedullary jig, femoral preparation using intramedullary jig.) on left side we had to insert stem. Stem was added in order to improve mechanical stability and to shear stress and decrease micromotion at distal Femur. and on right side conventional method was applied and TKA was done in routine fashion.

 Intraoperatively, significant technical difficulties were encountered:

  • Upon patellar eversion, multiple soft, whitish, cheesy, gritty deposits were visualized in both articular and periarticular spaces.
  • These crystalline masses impeded full knee flexion, patellar eversion, exposure of the menisci, and full extension.

Wound closure was challenging due to subcutaneous tophaceous infiltration.

The tophi were thoroughly debrided and sent for histopathology, confirming tophaceous gout.

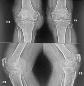
Figure 1. Pre op X-ray.

Figure 2. Post op X-ray.

During the postoperative period, the patient’s hemoglobin dropped, total leukocyte count increased, and kidney function deteriorated (creatinine: 2.3 mg/dL; urea elevated). Bone marrow aspiration showed hypercellular marrow with trilineage hematopoiesis and increased reticuloendothelial activity. A diagnosis of hemolytic uremic syndrome (HUS) was established. Abdominal ultrasonography was within normal limits. Laboratory investigations revealed hyperuricemia (uric acid: 10 mg/dL).

The patient was followed up at two-week and monthly intervals till one-year follow up. Physiotherapy commenced at six weeks post-surgery. At two months, he had mild effusion and pain in the left knee, but radiographs were unremarkable. Bilateral knee range of motion was 0–100°.

DISCUSSION

Gouty arthritis results from monosodium urate crystal deposition within joints, leading to inflammation and chronic joint damage [4]. Although TKA usually alleviates symptoms of crystal arthropathy, intraoperative detection of gouty tophi is rare and complicates surgical management.

Tophaceous gout may mimic septic arthritis both clinically and intraoperatively. Its presence in soft tissues poses several challenges:

  • Inhibited patellar eversion
  • Difficulty achieving adequate exposure
  • Impaired extension and flexion
  • Risk of incomplete wound closure due to bulky tophaceous masses [5,6]

Complete excision of tophi is critical to optimize implant positioning and minimize postoperative complications. Surgeons should be vigilant in patients with known gout, especially those with high uric acid levels and long-standing disease. We did right knee TKR in this patient as the patient complaint of pain and difficulty in walking from right knee.

CONCLUSION

Extensive tophaceous gout involving both subcutaneous and intra-articular tissues is a rare but significant obstacle in total knee arthroplasty. Despite these challenges, successful outcomes are achievable with careful planning, meticulous surgical technique, and thorough debridement of crystal deposits.

ACKNOWLEDGEMENTS

None.

CONFLICT OF INTEREST

The authors declare that there is no conflict of interest.

REFERENCES

  1. Becker MA, Levinson DJ. (1997). Clinical gout and the pathogenesis of hyperuricemia. In: Koopman WJ, (ed). Arthritis and Allied Conditions. 13th ed. Pennsylvania: Williams & Wilkins. pp. 2041-2071.
  2. Kelley WN, Wortmann RL. (1997). Gout and hyperuricemia. In: Kelley WN, Harris ED, Ruddy S, Sledge CB, (eds). Textbook of Rheumatology. 5th ed. Philadelphia: WB Saunders. pp. 1313-1351.
  3. Hollingworth P, Scott JT, Burry HC. (1983). Nonarticular gout: hyperuricemia and tophus formation without gouty arthritis. Arthritis Rheum. 26(1):98-101.
  4. Shmerling RH, Stern SH, Gravallese EM, Kantrowitz FG. (1988). Tophaceous deposition in the finger pads without gouty arthritis. Arch Intern Med. 148(8):1830-1832.
  5. Bloch C, Hermann G, Yu TF. (1980). A radiologic reevaluation of gout: a study of 2,000 patients. AJR Am J Roentgenol. 134(4):781-787.
  6. Yu KH, Luo SF, Liou LB, Wu YJ, Tsai WP, Chen JY, et al. (2003). Concomitant septic and gouty arthritis--an analysis of 30 cases. Rheumatology (Oxford). 42(9):1062-1066.

Creative Commons License

© 2015 Mathews Open Access Journals. All Rights Reserved.

Open Access by Mathews Open Access Journals is licensed under a
Creative Commons Attribution 4.0 International License.
Based On a Work at Mathewsopenaccess.com