Mathews Journal of Case Reports

2474-3666

Previous Issues Volume 8, Issue 4 - 2023

The Role of Pneumocystis Pneumonia Prophylaxis in Hematologic Malignancies: A Case Report and Review of Literature

Jordan Ciuro1,*, Mansi Singapori2, Howard Terebelo3

1MD, Medical College of Georgia, Augusta University, USA

2MD, Ascension Providence Hospital, USA

3DO, Ascension Providence Hospital, USA

*Corresponding author: Jordan Ciuro, MD, Medical College of Georgia, Augusta University, USA, Tel: 2489908850; Emails: [email protected]; [email protected].

Received Date: March 20, 2023

Published Date: April 06, 2023

Citation: Ciuro J, et al. (2023). The Role of Pneumocystis Pneumonia Prophylaxis in Hematologic Malignancies: A Case Report and Review of Literature. Mathews J Case Rep. 8(4):102.

Copyrights: Ciuro J, et al. © (2023).

ABSTRACT

Pneumocystis pneumonia (PCP) is a potentially life-threatening infection that occurs in immunocompromised individuals. Currently, there are no published and standard guidelines regarding the use of PCP prophylaxis in patients with aggressive hematologic malignancies. Here, we present a clinical case of a patient who was recently diagnosed with T-cell lymphoma and did not receive PCP prophylaxis leading to acute respiratory failure from PCP infection and a complicated ICU hospital course. Our case and review of the literature highlight the critical importance of further analysis of PCP prophylaxis to provide a consensus in treatment guidelines for physicians with the goal of decreasing mortality from a possible preventable infection in immunocompromised patients.

Keywords: Pneumocystis Pneumonia, Patients, Acute Respiratory Failure, T-cell Lymphoma, Pulmonary Involvement.

BACKGROUND

Pneumocystis pneumonia (PCP) infection is a dire infection that can occur in immunocompromised individuals [1]. Specifically, B cells play an important role in the generation of CD4+ T lymphocytes for defending against PCP infection. A reduction of B cells results in the insufficient generation of CD4+ T cells and subsequently higher risk for PCP infection [2]. The most significant risk factors for PCP in patients without HIV infection are glucocorticoid use, defect in cell-mediated immunity, immunosuppressive medications, malignancy, and hematopoietic cell or solid organ transplantation [3]. Currently, there are no published and standard guidelines regarding the use of PCP prophylaxis in patients with aggressive hematologic malignancies. Here, we present a clinical case of a patient who was recently diagnosed with T-cell lymphoma and did not receive PCP prophylaxis leading to acute respiratory failure from PCP infection. It is of critical importance to consider the current literature and understand the use of PCP prophylaxis in this immunocompromised patient cohort.

CLINICAL CASE

A 65-year-old male with a past medical history significant for T-cell lymphoma presented to Ascension Providence Hospital due to worsening dyspnea, diffuse weakness, and fever. Of importance, two months prior to admission to the hospital, he was diagnosed with stage IVA CD30 positive peripheral T-cell lymphoma not otherwise specified with cutaneous and pulmonary involvement (Figure 1). He was started on therapy with brentuximab, doxorubicin, cyclophosphamide, and prednisone with planned future evaluation for stem cell transplantation. He received two cycles of therapy and at a follow-up visit to the clinic, he was directed to the emergency department due to worsening respiratory symptoms.

Figure 1. CT chest showing soft tissue attenuation right hilar mass encasing the right main pulmonary artery and bronchi without significant associated narrowing. The overall size measures approximately 4.7 x 4.1 x 2.7 cm with prominent left hilar lymph nodes concerning lymphoma.

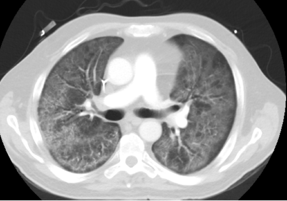
Upon admission to the hospital, his vitals were significant for hypoxia of 76% oxygen saturation on room air, respiratory rate of 23, and tachycardic with a heart rate of 107. CT chest with PE protocol revealed resolution of a previous right-sided hilar mass from known T-cell lymphoma but now evidence of bilateral small filling defects in the right and left lower lobe branches constituting small pulmonary emboli without obvious heart strain and bilateral infiltrates in the interstitial tissues of unclear etiology (Figure 2). The patient was admitted to the intensive care unit for intravenous fluid resuscitation and broad-spectrum antibiotics due to concern for sepsis and acute respiratory failure secondary to pulmonary emboli. Labs were significant for WBC 66.5, normocytic anemia with hemoglobin 7.6, reactive thrombocytosis with platelet 574,000, AST/ALT 42/30, CRP 267, and ferritin 683. Both urinalysis and blood cultures were negative. Rapid antigen and PCR testing for SARS-CoV-2 virus were also negative. Given the patient’s immunocompromised status with a recent diagnosis of lymphoma and steroid use, infectious disease was consulted due to concern for PCP who recommended empiric steroids and trimethoprim/sulfamethoxazole (TMP/SMX) for acute respiratory failure. Other testing included CMV, HSV, VZV PCR, Beta-D -Glucan, and Galactomannan which were all negative.

Figure 2. CT chest displaying bilateral infiltrates in the interstitial tissues consistent with known PCP infection.

Due to worsening respiration requiring intubation and unclear etiology of respiratory distress, complete bronchoscopy was obtained which showed no significant findings however a transbronchial biopsy resulted in Pneumocystis pneumonitis. His hospital course was complicated by increasing oxygen requirements which ultimately led to complicated and prolonged ICU course.

DISCUSSION

PCP is a known infectious disease which can lead to an acute decline in immunocompromised individuals. CD4+ and CD8+ T-cell function plays a vital role in the immunologic response to PCP infection. One retrospective study from 1990 to 2010 analyzed data from 293 cases of PCP, of which 154 (52.6%) tested negative for HIV [1]. Of the HIV-negative cases, the main underlying conditions found were hematological malignancies (32.5%) and solid tumors (18.2%) [1]. These results suggest the leading risk factors for PCP apart from HIV infection are hematological malignancies. Of note, it has also been shown that in non-HIV patients with PCP infection, the prognosis is poorer, and diagnostic tests are of lower sensitivity which is thought to be a result of limitations in detecting low fungal burdens and heterogeneity of studies [4]. Additionally, in older patients with hematologic malignancies, the diagnosis of PCP is usually delayed and is associated with a mortality rate between 30 to 60% [5].

In our case, the patient had CD30-positive peripheral T-cell lymphoma not otherwise specified, which is a heterogeneous group of rare, but aggressive non-Hodgkin lymphoma. Given the important role of CD4+ and CD8+ T-cell function in the immunologic response to PCP and abnormal T-cell function in peripheral T-cell lymphoma, curiosity arises about the prevalence and outcomes of PCP in patients with T-cell lymphoma. In one cohort study, the authors aimed to define the prevalence of PCP pneumonia in HIV-uninfected TCL patients. Here, all patients at Mayo Clinic, Rochester MN diagnosed with TCL and a positive PCP PCR assay from either bronchoalveolar lavage (BAL) fluid or other respiratory specimens were identified from March 2005 until November 2019 [6]. A total of 922 patients with TCL were identified. Peripheral TCL, not otherwise specified was the most common TCL, followed by angioimmunoblastic TCL, and CD30+ T-cell lymphoproliferative disorders (64%, 29%, and 7%, respectively) [6]. Of these T-cell lymphoma patients, only 14 cases (1.5%) had confirmed PCP [6]. In patient with PCP, half of the cases (50%) received CHOP as first-line of therapy, followed by CHOEP (25%) [6]. All cause 30-day and 90-day mortality were 7% and 29%, respectively [6]. The mortality attributed to PCP was 7% (n = 1) [6]. Overall this study concluded, given the low occurrence and mortality with PCP, primary prophylaxis should be individualized in patients with T-cell lymphoma as there is limited data currently available.

In recent years, PCP has also been frequently reported in lymphoma patients treated with rituximab-contained regimens, and the increase of PCP in these patients is considered to be related to rituximab. Rituximab is a chimeric monoclonal antibody, which targets B cell-specific antigen CD20. This leads to reduction in the number of B cells and remarkably enhances the efficacy of chemotherapy in non-Hodgkin lymphoma patients. The reported incidence rate of PCP in patients receiving rituximab-contained regimens could be as high as 10.04% to 13.04% [7]. There is also a high associated mortality from PCP in these patients, which has been reported as an incidence of 33.3% [7]. Overall, with no confirmatory data, this suggests further studies are necessary to answer if a correlation and to what degree the mortality with rituximab-containing regimen and PCP infection exists.

At present, there are no standard guidelines for PCP prophylaxis in patients with lymphoma or other hematologic malignancies. Therefore, due to the reported increased incidence and potential fatality of PCP, the role of prophylaxis has been studied. In a case study by Kolstad et al., [8] it was observed that six cases of PCP were found among the 46 patients (13%) with non-Hodgkin’s B cell lymphoma who were treated with R-CHOEP-14 chemotherapy between 2002 and 2006 [8]. PCP infection usually occurred after cycles four to six of this regimen and a higher dose of steroids was also thought to be a predisposition to PCP [8]. Despite the lack of guidelines, various studies have shown the clinical benefits of TMP/SMX with minimal toxicities. For instance, in a study performed in Seoul, Korea 176 patients with diffuse large B-cell lymphoma were included who received at least 4 cycles of R-CHOP-21 with concurrent PCP prophylaxis of daily single-strength TMP/SMX (80mg/400mg) between June 2016 and December 2017 [3]. The study concluded that there were no associated PCP events in patients with DLBCL treated with R-CHOP-21 and TMP/SMX prophylaxis with daily single-strength TMP/SMX (80mg/400mg) signaling the potential use of TMP/SMX in this vulnerable patient population [9]. Additionally, Stern et al. evaluated the effectiveness of PCP prophylaxis among non-HIV immunocompromised patients through retrospective analysis. They found that thirteen trials were performed between 1974 and 2008 which involved 1,412 patients including those with acute leukemia, solid organ transplantation or autologous bone marrow transplantation using TMP/SMX prophylaxis compared to placebo. The results showed 85% reduction in the occurrence of PCP patients with TMP/SMX (RR 0.15) and a significantly reduced PCP-related mortality rate (RR 0.17) without differences in adverse events [10]. Lastly, a large review of medical records of 739 diffuse large B-cell patients who received R-CHOP between May 2004 and January 2019 was completed by Lee et al [11]. This review evaluated two groups of patients, one group received PCP prophylaxis and another group did not. They found that none of the patients receiving PCP prophylaxis developed PCP while the incidence of PCP in the control group was as high as 8.1%. Of the patients who developed PCP, 10 were admitted to the intensive care unit and the PCP related death rate approached 8 of 49 patients (16%) [11].

Overall, TMP/SMX is used for a variety of indications and is well tolerated. As it blocks folic acid synthesis, it is widely used for its antimicrobial activity against various respiratory and urinary tract pathogens and is considered first-line therapy used for PCP prophylaxis [12]. Despite the potential use of TMP/SMX, it does not come without potential side effects. Although usually well tolerated, TMP/SMX can cause gastrointestinal side effects such as anorexia, diarrhea and nausea or vomiting. It can also cause rare hypersensitivity reactions which can occur in up to 5% of patients [12]. There are also several drug interactions that may occur with the use of TMP/SMX. This antimicrobial can potentiate the effect of warfarin, phenytoin, methotrexate and various hypoglycemic agents. Lastly, TMP/SMX can also lead to microbial resistance with increased use. If intolerable toxicities are found, there are effective alternative therapies such as atovaquone or aerosolized pentamidine to help prevent PCP in this patient cohort.

CONCLUSION

In our analysis, we conclude that the data analyzing the relationship between PCP prevalence in lymphoma patients and the effect of PCP prophylaxis are inconclusive. It is known that hematological malignancies are a leading risk factor for PCP infection however there is no consensus on treatment at this time. There also appears to be limited data regarding prophylaxis in T-cell when compared to B-cell hematologic malignancies. The lack of data on prophylaxis benefits in T-cell lymphoma patients also signals the need for further research. Additionally, although more researched, the current literature on PCP prophylaxis in patients with B-cell lymphoma treated with rituximab-containing regimen is still not confirmatory.

In summary, studies show promising results in lowering PCP-related events in patients with hematologic malignancies treated with PCP prophylaxis with tolerable and minimal side effects. Despite the benefit of TMP/SMX, there does not appear to be a consensus for prophylaxis. Due to the tolerability of TMP/SMX, we believe that PCP prophylaxis should be considered in those patients who are at high risk of infection and potentially those who would not be otherwise able to overcome PCP infection due to comorbidities. It currently remains a clinical decision of the treating physician. Further analysis is needed to provide a consensus on prophylaxis guidelines with the goal of decreasing mortality from a possible preventable infection in immunocompromised patients.

REFERENCES

  1. Fillatre P, Decaux O, Jouneau S, Revest M, Gacouin A, Robert-Gangneux F, et al. (2014). Incidence of Pneumocystis jiroveci pneumonia among groups at risk in HIV-negative patients. Am J Med. 127(12):1242.e11-1242.e17. DOI: 10.1016/j.amjmed.2014.07.010.
  2. Mathew BS, Grossman SA. (2003). Pneumocystis carinii pneumonia prophylaxis in HIV negative patients with primary CNS lymphoma. Cancer Treat Rev. 29(2):105-119. DOI: 10.1016/s0305-7372(03)00002-1.
  3. Clark J, Hayano S, Heinrich S. (2022). UpToDate: Evidence-based Clinical Decision Support. Www.Uptodate.Com. Retrieved June 15, 2022. Available at: https://www.wolterskluwer.com/en/solutions/uptodate
  4. Ghembaza A, Vautier M, Cacoub P, Pourcher V, Saadoun D. (2020). Risk Factors and Prevention of Pneumocystis jirovecii Pneumonia in Patients With Autoimmune and Inflammatory Diseases. Chest. 158(6):2323-2332. DOI: 10.1016/j.chest.2020.05.558. 
  5. Hakamifard A, Mardani M, Nasiri MJ, Gholipur-Shahraki T. (2022). Bendamustine and pneumocystis pneumonia: A systematic review. Health Sci Rep. 5(3):e610. DOI: 10.1002/hsr2.610.
  6. Natalia A, Pooja G, Steven H, Nora B, Jason B, Pritish T, et al. (2020). Prevalence and outcomes of pneumocystis pneumonia in patients with T-cell lymphoma. Journal of Clinical Oncology. 38(15_suppl): e20057-e20057. DOI: 10.1200/JCO.2020.38.15_suppl.e20057.
  7. Jiang X, Mei X, Feng D, Wang X. (2015). Prophylaxis and Treatment of Pneumocystis jiroveci Pneumonia in Lymphoma Patients Subjected to Rituximab-Contained Therapy: A Systemic Review and Meta-Analysis. PloS One. 10(4):e0122171. DOI: 10.1371/journal.pone.0122171.
  8. Kolstad A, Holte H, Fosså A, Lauritzsen GF, Gaustad P, Torfoss D. (2007). Pneumocystis jirovecii pneumonia in B-cell lymphoma patients treated with the rituximab-CHOEP-14 regimen. Haematologica. 92(1):139-140. DOI: 10.3324/haematol.10564.
  9. Ha JY, Lee K, Hong JY, Yoon DH, Kim SH, Jang S, et al. (2018). Prophylaxis of Trimethoprim-Sulfamethoxazole for Pneumocystis Pneumonia in Diffuse Large B-Cell Lymphoma Treated with R-CHOP Therapy: A Single Center Experience. Blood. 132(Supplement 1):5832. DOI: 10.1182/blood-2018-99-118360.
  10. Stern A, Green H, Paul M, Vidal L, Leibovici L. (2014). Prophylaxis for Pneumocystis pneumonia (PCP) in non-HIV immunocompromised patients. Cochrane Database Syst Rev. 2014(10):CD005590. DOI: 10.1002/14651858.CD005590.
  11. Lee JY, Kang M, Suh KJ, Kim JW, Kim SH, Kim JW, et al. (2021). Pneumocystis jirovecii pneumonia in diffuse large B-cell Lymphoma treated with R-CHOP. Mycoses. 64(1):60-65. DOI: 10.1111/myc.13184.
  12. Smilack JD. (1999). Trimethoprim-sulfamethoxazole. Mayo Clin Proc. 74(7):730-734. DOI: 10.4065/74.7.730.

Creative Commons License

© 2015 Mathews Open Access Journals. All Rights Reserved.

Open Access by Mathews Open Access Journals is licensed under a
Creative Commons Attribution 4.0 International License.
Based On a Work at Mathewsopenaccess.com