Mathews Journal of Case Reports

2474-3666

Previous Issues Volume 9, Issue 5 - 2024

Skene’s Gland Adenocarcinoma: A Rare Case Report of a PAX-8-Positive Female Urethral Adenocarcinoma and Literature Review

M Ait Alla1*, A Seffar2, G Hatim1, A Doumer2, H Talib1, T Chekrine1, Z Bouchbika1, N Benchakroun1, N Tawfiq1, H Jouhadi1, S Chaabi3, F Marnissi3, M Karkouri3, A Moataz2, M Dakir2, A Debbagh2, R Aboutaieb2, S Sahraoui1

1Department of Radiation Oncology, University Hospital Center Ibn Rochd, Faculty of Medicine and Pharmacy, Hassan II University, Morocco

2Department of Urology, University Hospital Center Ibn Rochd, Faculty of Medicine and Pharmacy, Hassan II University, Morocco

3Department of Pathology, University Hospital Center Ibn Rochd, Faculty of Medicine and Pharmacy, Hassan II University, Morocco

*Corresponding author: Meriem Ait Alla, Department of Radiation Oncology, University Hospital Center Ibn Rochd, Faculty of Medicine and Pharmacy, Hassan II University, Morocco, Phone: 00212669267662, Email: [email protected]

Received Date: April 21, 2024

Published Date: May 14, 2024

Citation: Alla MA, et al. (2024). Skene’s Gland Adenocarcinoma: A Rare Case Report of a PAX-8-Positive Female Urethral Adenocarcinoma and Literature Review. Mathews J Case Rep. 9(5):165.

Copyrights: Alla MA, et al. © (2024).

ABSTRACT

Background: Primary urethral carcinoma in females is scarce, with adenocarcinomas being rarer. To this date, there are several reported cases of urethral carcinomas in Women arising from Skene’s glands. Case report: We report the case of a 45-year-old woman, who presented with multiple urinary complaints: dysuria, haematuria, recurrent urinary tract infections and dyspareunia. Transvaginal examination showed bulging of the anterior wall of the vaginal wall. Computed tomography, magnetic resonance imaging (MRI), cystourethroscopy and the histopathological findings of the biopsied specimen revealed an adenocarcinoma of the urethra most likely at the starting point of the Skene’s glands with local extension and external iliac lymph nodes. We report the case of an intestinal-type primary urethral carcinoma caused probably by inflammation-related metaplasia in the urethral glands, which showed positive PAX-8 staining. To ensure accurate diagnosis, it's crucial to rule out other locations such as bladder, colorectal, and gynaecologic/mullerian cancers due to their specific immunophenotype. Written informed consent was obtained from the patient. Conclusion: Our study highlights the significance of imaging studies including endoscopic view and MRI findings of this rare disease. Multimodal therapy, including neoadjuvant chemoradiotherapy followed by surgery for optimal local and distant disease management.

Keywords: Skene Glands, Adenocarcinoma, Urethra, Case Report.

INTRODUCTION

Primary urethral carcinoma in females is rare, and it represents 0.02% of cancers in females and <1% of cancers in the female urogenital tract [1].

In women, the more frequent histological types are squamous cell carcinoma, adenocarcinoma and urothelial carcinoma. Primary urothelial carcinomas with unconventional histological subtypes are very rare and exhibit a dismal prognosis.

Female urethral adenocarcinoma is an aggressive cancer with two histological subtypes: clear cell and columnar/mucinous (intestinal) [2]. In more than 50% of cases, the diagnosis is made at the metastatic stage, even though the lesion is often symptomatic and palpable, which often leads to a significant delay in diagnosis [3].

They usually arise from Skene’s glands, also referred to as the periurethral glands. The first case was reported in 1974 by Klotz [4]. Up to the present time, there has been only 22 cases reported [5].

In this paper, we present an additional case of female urethral adenocarcinoma, more precisely a rare instance of mucinous adenocarcinoma with iliac lymph node metastases. Our paper highlights the significance of imaging studies including endoscopic view and MRI appearance of this rare disease, and the necessity of a multimodal therapy.

CASE REPORT

We report the case of a 45 years old Moroccan North African woman, with no family history, nulligravida. She is a chronic smoker, with a smoking exposure of 12 pack-years, she was suffering from recurrent urinary infections (3 times a year). Initially, she presented with a one year of intermittent macroscopic haematuria, painful urination, and dyspareunia. She was treated initially as a urinary infection, but due to the worsening of her symptoms, she was referred to the urology department.

The physical examination showed a bulging of the anterior wall of the vagina with no inguinal palpable nodes.

During workup, a computed tomography urogram was performed and showed a large periurethral mass anterior to the vagina, without any other abnormalities, especially in the upper urinary tract and the bladder.

Urethroscopy reveals the presence of a large mass protruding in the proximal urethral lumen and extending to the vesical neck. Cystoscopy examination excludes the presence of concomitant bladder tumours. Transurethral resection of a small portion of the tumor was performed.

Histological examination reveals an adenocarcinomatous proliferation arranged in glands with villous structures (70%) and solid foci (30%). Tumor cells exhibit a cubic or columnar morphology. The cytoplasm appears eosinophilic, occasionally clarified. Nuclei display hyperchromatism and marked anisokaryosis, particularly in clear cells, along with numerous mitoses. Within solid foci, cells are polygonal, featuring rounded nuclei and large nucleoli, with abundant mitotic activity. Vascular emboli and nerve infiltration were identified. Immunohistochemistry demonstrated expression of PAX8, Vimentin, and Progesterone Receptors, while PSA, chromogranine, GATA3, WT1, and P63 were negative.

A pelvis MRI was then performed and showed a mass of the urethra most likely at the starting point of the Skene’s glands with local extension and external iliac lymph nodes. The sub vesical mass whose epicentre is the urethra, most probably originating in the left periurethral gland (skene’s gland). It measures 71 mm in height, 45 mm in transverse diameter and 40 mm in anteroposterior diameter.

The physical examination, as well as the Chest and abdominal CT showed no signs of metastases. The PSA blood level was <0.010 ng/ml.

After elimination colorectal and gynaecologic cancers, we are in front of T3N2M0 G3 primary urethral carcinoma in female. The case was discussed in our multidisciplinary consultation meeting. It was decided that a neoadjuvant treatment was necessary. It was concluded that the patient would have a radio-chemotherapy at the dose of 46Gy, with a weekly concomitant Cisplatin at the dose of 40 mg/m2, and will then be revalued to decide for surgery.

Figure 1. Urethroscopy presence of a large mass protruding in the urethral lumen, starting 2 cm from the external meatus and extending to the bladder neck.

Figure 2. Vaginoscopy showing a bulge in anterior vaginal wall.

Figure 3. Coronal MRI section showing a sub vesical mass (circled in red) whose epicentre is the urethra, most probably originating in the left periurethral gland (small red circle). It measures 71 mm in height, 45 mm in transverse diameter and 40 mm in anteroposterior diameter.

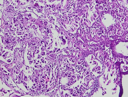
Figure 4. (HE x100)

The tumour is composed of small glands and villous structures with cuboidal and columnar cells with clear to eosinophilic cytoplasm.

Figure 5. (HE x100)

Solid foci with polygonal cells, featuring rounded nuclei and large nucleoli, with abundant mitotic activity.

Figure 6. (HE x200)

The tumor cells are cuboidal or columnar, with pale or eosinophilic cytoplasm, round nuclei, and prominent nucleoli.

Figure 7. (PAX8 x100)

Tumour cells are positive for PAX8.

Figure 8. (PR x200)

Tumour cells are positive for Progesterone Receptors.

DISCUSSION

Primary urethral carcinoma in females is rare.

According to the SEER database, the 75-year-old age group has the greatest incidence of primary urethral cancer (7.6 per million). The age-standardized incidence was 4.3 per million for men and 1.5 per million for women [6].

Female urethral carcinomas are predominantly squamous cell carcinoma (70%), followed by transitional cell carcinoma (20%) and adenocarcinoma (10%). Other unusual histological kinds include neuroendocrine carcinoma, paragangliomas, metastasis, sarcomas, lymphoma, and melanoma [7].

Recurrent urinary tract infections and urethral diverticula were identified as the primary causes of female urethral cancer. Other risk factors for urethral tumors include leukoplakia, polyps, caruncles, delivery, and viral infections such as human papillomavirus [8].

Patients with Skene’s gland adenocarcinoma usually present with signs like haematuria, dysuria, urinary frequency, or an extraurethral mass or induration [8]. At the physical examination, a prolapsing small lesion through the urethral orifice or a bulge on the anterior wall of the vagina can be found. Also, urethral tumours should be suspected in healthy middle-aged females with urine retention and no prior history of urinary tract disorders. After cystoscopy and transurethral resection or external biopsy, MRI and CT scans are usually performed for local and distant staging. A study suggests that combining a highly sensitive PET with the increase tissue resolution of MR (PET/MR) may improve abdominal and pelvic lesion detection outperforming PET/CT. It shows that this exploration is not only effective but also altered staging and spared additional invasive procedures in the assessment of a metastatic urethral adenocarcinoma [9].

Primary urethral adenocarcinoma in females is classified into two primary histological subtypes: columnar/mucinous ("intestinal") and clear cell. The histology of mucinous-type adenocarcinoma resembles that of colorectal mucinous carcinoma. Columnar/mucinous adenocarcinoma is morphologically well-differentiated colonic or endocervical adenocarcinoma, and the architectural pattern consists of tubular to irregular glands and can also show focal papillary and villous areas. The cytologic features include predominantly atypical columnar cells with eosinophilic to amphophilic cytoplasm, round to oval nuclei with regular contours, and generally small, inconspicuous nucleoli. Mucinous cells are often readily identified and can resemble goblet cells. Rarely, mild to moderate pleomorphism is appreciated and can be associated with large mucin pools and rare malignant glands within [10].

This type of carcinoma is primarily composed of colonic glandular epithelium and may include a mucinous component, as our case, which is characterized by abundant extracellular mucin that is exhibited in certain areas [11].

There is ongoing debate on the cause of primary urethral cancer. It is believed that the periurethral Skene's glands, which are assumed to function similarly to the male prostate, are one source of primary urethral adenocarcinoma in females.

Even though a positive PSA test result is thought to be proof that the cancer originated from Skene's glands but there are cases in which it can be negative [11,12], such as our case. Cytochrome and immune-histochemical investigations have also shown that these tumors resemble normal Skene's glands [11-15].

Alternative hypotheses of genesis have been put out in response to reports from other research suggesting prolonged irritation of the urethral mucosa might result in intestinal metaplasia, sometimes known as glandular urethritis [16,17].

According to the European Association of urology, Prognostic factors of worse survival in patients with primary urethral carcinoma are [18]:

  • Advanced age (> 65 years) and black race
  • Higher stage, grade, nodal involvement and metastasis;
  • Increased tumour size and proximal tumour location;
  • Underlying (non-urothelial or unconventional) histology;
  • Presence of concomitant bladder cancer;
  • Extent of surgical treatment and treatment modality;
  • Treatment in academic centres.
  • Location of recurrence (urethral vs. non-urethral)

Female patients showed higher stage disease and 5-years cancer-specific mortality despite higher use of multimodal therapy.

The choice of treatment depends essentially on the staging of the tumour, and the choice of the patient.

We believe that the discussion of such cases in a multidisciplinary consultation meeting is mandatory, in order to decide on the most suitable therapeutic approach.

CONCLUSION

The rarity of Skene’s gland adenocarcinomas makes it difficult to establish a consensus regarding their treatment. The treatment can be multimodal, including surgery, radiotherapy and chemotherapy (a cisplatin-based regimen). When the tumor is small and localized, the treatment can consist of a transurethral local resection or laser [19]. For advanced urethral carcinoma, multimodal treatment is usually necessary [20].

ETHICAL APPROVAL OF STUDIES AND INFORMED CONSENT

Written informed consent was obtained from the patient.

CONFLICT OF INTEREST

The authors have no conflicts of interest.

AUTHOR CONTRIBUTIONS

AM was in charge of the data collection (history and radiology findings), the design of the work and the writing of the manuscript. AS was also in charge of the data collection (endoscopy findings) and the writing of the manuscript. GH made substantial contributions to the conception of the work and revised it, and has approved the submitted version. AD and HT were contributors in the writing the manuscript, have approved the submitted version. TC , ZB and NB were major contributors in revising the manuscript, and have approved the submitted version. HJ was a major contributor in writing the manuscript, and has approved the submitted version. AM, MD, AD, RA were major contributors in revising the manuscript, and have approved the submitted version. SC performed the histological examination of the biopsy, and has approved the submitted version. FM performed the histological examination of the biopsy and provided the histology figures, and has approved the submitted version. MK performed the histological examination of the biopsy, and has approved the submitted version. SS was a major contributor in revising the manuscript, and has approved the submitted version.

REFERENCES

  1. Dell'Atti L, Galosi AB. (2018). Female urethra adenocarcinoma. Clinical Genitourinary Cancer. 16(2):e263-e267.
  2. Gangadhar P, Pai MR, Sandhya I. (2018). A rare case of primary female urethral adenocarcinoma: Columnar type with colonic adenocarcinoma features. Indian J Pathol Microbiol. 61(1):127-130.
  3. Grigsby PW. (1998). Carcinoma of the urethra in women. Int J Radiat Oncol Biol Phys. 41(3):535-541.
  4. Klotz PG. (1974). Carcinoma of Skene's gland associated with urethral diverticulum: a case report. J Urol. 112(4):487-488.
  5. Li XH, Zhang YT. (2024). Skene gland adenocarcinoma of the urethra: A systematic review. Asian J Surg. 47(3):1587-1588.
  6. Swartz MA, Porter MP, Lin DW, Weiss NS. (2006). Incidence of primary urethral carcinoma in the United States. Urology. 68(6):1164-1168.
  7. Ouzaid I, Hermieu JF, Dominique S, Fernandez P, Choudat L, Ravery V. (2010). Management of adenocarcinoma of the female urethra: case report and brief review. Can J Urol. 17(5):5404-5407.
  8. Tian J, Zhu T, Xu Z, Chen X, Wu Y, Fu G, Jin B. (2023). Management of Primary Female Urethral Adenocarcinoma: Two Rare Case Reports and Literature Review. Medicina (Kaunas). 59(1):109.
  9. Laudicella R, Davidzon G, Vasanawala S, Baldari S, Iagaru A. (2019). 18F-FDG PET/MR Refines Evaluation in Newly Diagnosed Metastatic Urethral Adenocarcinoma. Nucl Med Mol Imaging. 53(4):296-299.
  10. Dell'Atti L, Galosi AB. (2018). Female Urethra Adenocarcinoma. Clin Genitourin Cancer. 16(2):e263-e267.
  11. Dodson MK, Cliby WA, Pettavel PP, Keeney GL, Podratz KC. (1995). Female urethral adenocarcinoma: evidence for more than one tissue of origin? Gynecol Oncol. 59(3):352-357.
  12. Tregnago AC, Epstein JI. (2018). Skene's Glands Adenocarcinoma: A Series of 4 Cases. Am J Surg Pathol. 42(11):1513-1521.
  13. Pongtippan A, Malpica A, Levenback C, Deavers MT, Silva EG. (2004). Skene's gland adenocarcinoma resembling prostatic adenocarcinoma. Int J Gynecol Pathol. 23(1):71-74.
  14. Sloboda J, Zaviacic M, Jakubovský J, Hammar E, Johnsen J. (1998). Metastasizing adenocarcinoma of the female prostate (Skene's paraurethral glands). Histological and immunohistochemical prostate markers studies and first ultrastructural observation. Pathol Res Pract. 194(2):129-136.
  15. Harari SE, Cheng L, Osunkoya AO. (2016). Primary mucinous adenocarcinoma of the female urethra: a contemporary clinicopathologic analysis. Hum Pathol. 47(1):132-137.
  16. Chan YM, Ka-Leung Cheng D, Nga-Yin Cheung A, Yuen-Sheung Ngan H, Wong LC. (2000). Female urethral adenocarcinoma arising from urethritis glandularis. Gynecol Oncol. 79(3):511-514.
  17. Hale CS, Huang H, Melamed J, Xu R, Roberts L, Wieczorek R, et al. (2013). Urethral adenocarcinoma associated with intestinal-type metaplasia, case report and literature review. Int J Clin Exp Pathol. 6(8):1665-1670.
  18. EAU Guidelines. Edn. presented at the EAU Annual Congress Paris 2024. ISBN 978-94-92671-23-3.
  19. Dimarco DS, Dimarco CS, Zincke H, Webb MJ, Bass SE, Slezak JM, et al. (2004). Surgical treatment for local control of female urethral carcinoma. Urol Oncol. 22(5):404-409.
  20. Zeng T, Liu Q, Zhu S, Xu R. (2022). Intestinal-type adenocarcinoma presenting as a female periurethral mass. BMC Urol. 22(1):119.

Creative Commons License

© 2015 Mathews Open Access Journals. All Rights Reserved.

Open Access by Mathews Open Access Journals is licensed under a
Creative Commons Attribution 4.0 International License.
Based On a Work at Mathewsopenaccess.com