Mathews Journal of Neurology

2572-6536

Current Issue Volume 9, Issue 1 - 2025

Unravelling Huntington’s Disease: A Comprehensive Case Report and Review of Current Insights

Siddhant Kumar1,*, Pranjal Kr Dutta2, Aditya Poddar3

1,3Post Graduate Trainee, Department of Medicine, Assam Medical College and Hospital, Dibrugarh, Assam, India

2Associate Professor, Department of Medicine, Assam Medical College and Hospital, Dibrugarh, Assam, India

*Corresponding author: Dr. Siddhant Kumar, Post Graduate Trainee, Department of Medicine, Assam Medical College and Hospital, Dibrugarh, Assam, PIN - 786002, India, Phone: +91-7351374792, Email: [email protected]

Received Date: August 19, 2025

Published Date: October 16, 2025

Citation: Kumar S, et al. (2025). Unravelling Huntington’s Disease: A Comprehensive Case Report and Review of Current Insights. Mathews J Neurol. 9(1):32.

Copyrights: Kumar S, et al. © (2025).

ABSTRACT

Huntington's disease (HD) is a rare neurodegenerative disorder characterized by progressive degeneration of GABAergic neurons in the basal ganglia, leading to subcortical dementia, behavioral disturbances, and involuntary choreiform movements. Diagnosis is confirmed through molecular testing for CAG repeat expansions. While no cure exists, treatment focuses on symptomatic relief via pharmacological, physical, and psychosocial interventions. This report presents a case of a 50-year-old male with typical HD features supported by imaging and genetic testing.

Keywords: Huntington’s Disease, CAG Repeat, Basal Ganglia, Genetic Testing, Chorea.

INTRODUCTION

Huntington’s disease (HD) is a neurodegenerative disorder with autosomal dominant inheritance, caused by expanded CAG trinucleotide repeats in the HTT gene on chromosome 4 [1,2]. Repeat counts above 36 are pathogenic, while 27-35 repeats represent an intermediate, potentially unstable range. The mean onset age is 30-50 years [3]. In Asia, HD is underdiagnosed due to social, cultural, and infrastructural barriers [4].

CASE REPORT

A 50-year-old male presented with a two-month history of involuntary, stress-exacerbated, irregular movements and behavioral changes. Symptoms progressed to functional decline, speech disturbances, and forgetfulness. There was no history of substance use or other neurological symptoms. Family history revealed a pattern suggestive of autosomal dominant inheritance.

On examination, the patient showed chorea involving the face, limbs, and trunk, along with speech and gait abnormalities. MRI findings showed bilateral caudate nucleus atrophy and ventricular enlargement. Genetic testing confirmed 41 CAG repeats in one allele.

The patient received genetic counseling and was started on tetrabenazine with scheduled follow-ups.

Figures:

1. Family pedigree indicating autosomal dominant inheritance

2. MRI (T2) showing caudate nucleus atrophy

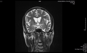
3. MRI (Coronal T2) confirming striatal changes

4. MRI (Axial T1) supporting HD diagnosis

Figure 1. Family tree of patient showing Autosomal Dominant pattern inheritance.

Figure 2. MRI (T2) showing caudate nucleus atrophy.

Figure 3. MRI brain (T2 weighted coronal section) shows head of bilateral caudate nuclei with mild atrophied ex-vacou mid dilatation.

Figure 4. MRI brain (T1 weighted axial section) shows head of bilateral caudate nuclei with mild atrophied ex-vacou mid dilatation of frontal horns of lateral ventricle.

DISCUSSION

HD typically begins with cognitive and psychiatric symptoms, followed by choreiform movements. This patient presented with concurrent motor and cognitive signs. Suicide risk is elevated in HD, necessitating early counseling [3].

The HTT gene’s CAG expansion leads to toxic protein aggregation. Full penetrance occurs with >40 repeats. Anticipation, especially via paternal inheritance, results in earlier onset in successive generations [2].

Diagnosis involves MRI and confirmatory genetic testing, both of which may be delayed in resource-limited settings. There is no cure; symptomatic treatments like tetrabenazine and psychiatric support remain the mainstay [5].

Prevalence is significantly lower in Asia, possibly due to under diagnosis [6,7]. This case underlines the need for awareness and improved diagnostic access [8,9].

CONCLUSION

This case highlights classic clinical and radiological features of HD in a middle-aged male with a suggestive family history. Timely diagnosis, symptomatic treatment, and multidisciplinary care are critical. Genetic counseling and long-term support are essential components of care.

AUTHOR CONTRIBUTIONS

  • Concept and Design: Siddhant Kumar, Aditya Poddar
  • Data Acquisition and Interpretation: Siddhant Kumar, Aditya Poddar, Shravan S M
  • Manuscript Drafting: Siddhant Kumar, Aditya Poddar
  • Critical Review: Pranjal Kr. Dutta
  • Supervision: Pranjal Kr. Dutta

CONFLICT OF INTEREST

The authors declare that they have no conflict of interest.

ETHICAL CONSIDERATIONS

Informed consent was obtained from the patient for the publication of this case report and accompanying images. Ethical approval was not required for this single case report, in accordance with local institutional policies.

REFERENCES

  1. Bates GP, Dorsey R, Gusella JF, Hayden MR, Kay C, Leavitt BR, et al. (2015). Huntington disease. Nat Rev Dis Primers. 1:15005.
  2. A novel gene containing a trinucleotide repeat that is expanded and unstable on Huntington's disease chromosomes. The Huntington's Disease Collaborative Research Group. Cell. 1993; 72(6):971-983.
  3. Roos RA. (2010). Huntington's disease: a clinical review. Orphanet J Rare Dis. 5:40.
  4. Kremer B, Goldberg P, Andrew SE, Theilmann J, Telenius H, Zeisler J, et al. (1994). A worldwide study of the Huntington's disease mutation. The sensitivity and specificity of measuring CAG repeats. N Engl J Med. 330(20):1401-1406.
  5. Stoker TB, Mason SL, Greenland JC, Holden ST, Santini H, Barker RA. (2022). Huntington's disease: diagnosis and management. Pract Neurol. 22(1):32-41.
  6. Pringsheim T, Wiltshire K, Day L, Dykeman J, Steeves T, Jette N. (2012). The incidence and prevalence of Huntington's disease: a systematic review and meta-analysis. Mov Disord. 27(9):1083-1091.
  7. Papanna B, Lazzari C, Rabottini M. (2024). Huntington’s disease prevalence in Asia: meta-analysis. Riv Psichiatr. 59(1):4-12.
  8. Medina A, Mahjoub Y, Shaver L, Pringsheim T. (2022). Prevalence and incidence of Huntington’s disease: an updated systematic review. Mov Disord. 37(12):2327-2335.
  9. Gagnier JJ, Kienle G, Altman DG, Moher D, Sox H, Riley D, et al. (2013). The CARE Guidelines: Consensus-based Clinical Case Reporting Guideline Development. Glob Adv Health Med. 2(5):38-43.

Creative Commons License

© 2015 Mathews Open Access Journals. All Rights Reserved.

Open Access by Mathews Open Access Journals is licensed under a
Creative Commons Attribution 4.0 International License.
Based On a Work at Mathewsopenaccess.com