Mathews Journal of Immunology & Allergy

2575-9523

Previous Issues Volume 9, Issue 1 - 2025

The Sea Star Lymphocytes: A Reply to Evolutionary Immunologists

Michel Leclerc*

Immunology of Invertebrates, Div: Biochem/Biology, Orléans University, France

*Corresponding author: Michel Leclerc, Immunology of Invertebrates, Div: Biochem/Biology, Orléans University, 556 rue Isabelle Romée, 45640 Sandillon, France, Phone: 0238410209, Email: [email protected]

Received Date: January 28, 2025

Published Date: February 10, 2025

Citation: Leclerc M. (2025). The Sea Star Lymphocytes: A Reply to Evolutionary Immunologists. Mathews J Immunol Allergy. 9(1):33.

Copyrights: Leclerc M. © (2025).

ABSTRACT

Evolutionary Immunologists in AAI contest our data. By our turn we contest them. We present again our work with the well-known B sea star Lymphocyte and T sea star Lymphocyte. They show strong homologies with mammal lymphocytes as described below. SO why to speak of central DOGMA ? Why a dogma? Never demonstrated? Or at your convenience!

Keywords : B Sea Star Lymphocyte, T Sea Star Lymphocytes, Mammal Lymphocytes, Evolution.

INTRODUCTION

Despite some indications from more 30 years ago that Invertebrates also have a specific (Adaptative) immune system based on the clonal expansion of activated lymphocytes, it has become the central dogma of evolutionary immunologists (From AAI?) that Invertebrates, in the absence of « true » lymphocytes and functional Ab, rely entirely…. I , now allow to describe our lymphocytes.

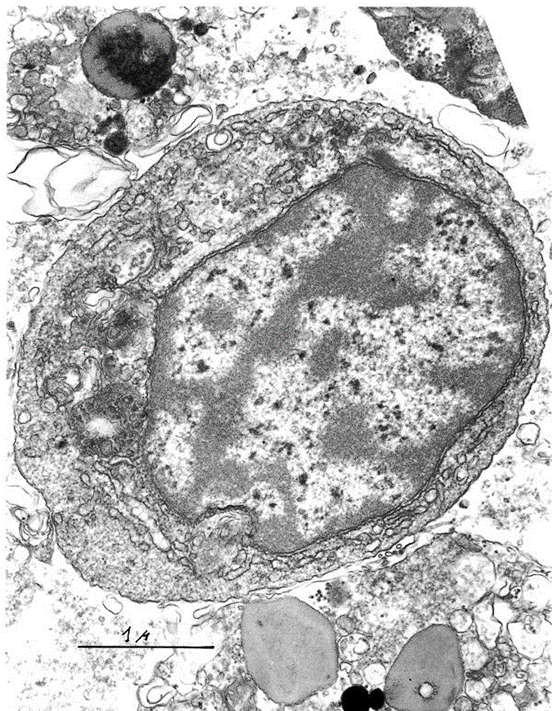
Figure 1. The sea star B Lymphocyte, with its RER system and its scale.

The B and T sea star lymphocytes

1) The sea star B lymphocyte is found in the sea star axial organ which has been considered by us, as an ancestral lymphoïd organ [1]. Other lymphocytes are supposed to be also present in Tiedeman’s bodies of different starfishes

The sea star B lymphocyte, of 4µ in diameter presents a rough reticulum endoplasmic, particularly highly developed, so the Golgi apparatus in TEM. We observe it in the figure below. It resembles mammal lymphocytes in its entiere morphology.

The sea star B lymphocyte is obtained from a separation into a nylon-wool column: it is said a nylon-wool adherent cell. It may be also obtained in a reaction of agglutanibility with different lectins such as wheat germ agglutin.

In this thematic, sea star B lymphocyte has mitogenic properties: LPS and Nocardia Opaca delipidated stimulate the « proliferation » of B cell subpopulation at a degree which is similar to mammal lymphocytes.

At last, it is noticeable, that after immunizations of sea stars with various antigens, B sea star lymphocytes increase in percentages, when compared to the whole axial organ cell population: it goes from 10 % up to 45 %.

2) The T sea star lymphocyte is also found in the sea star Axial organ. It is also 4µ in diameter. It is said a nylon-wool non adherent cell (as physical property). It is may be also obtained in a reaction of agglutanibility with lectins such as ConcanavalinA. The T sea star lymphocytes induced angiogenesis and splenomegaly in Vertebrate hosts [2]: IT’S A CHARACTERISTIC ALSO of Mammal lymphocytes. This T sea star lymphoyte has mitogenic properties as mammal one : it is stimulated by lectins as ConA, PWM.

We speak of adaptative immunity in sea star immune system correlated to IPA: Invertebrate Primitive antibody., after cooperation of T and B sea star lymphocytes and phagocytes which play the rôle of macrophages as IT was CLEARLY demonstrated in 1986 [3].

Further more, we have found MHC genes [4] in these Invertebrates which are Echinoderms, is seems more and more clear we are in the truth. And Now 3 questions to you: 1) What do you call a « true » lymphocyte ? My reply: a lymphocyte is a lymphocyte.

3) Who are the evolutionary immunologists? You from AAI or me?

REFERENCES

  1. Leclerc M,  Brillouet C,  Luquet G. (1980). The starfish axial organ: An ancestral lymphoid organ. Dev Comp Immunol. 4(4):605-615.
  2. Brillouet C, et al. (1981). Proceedings Congress Dev. Comp. Immunology Aberdeen. pp. 159-170.
  3. Leclerc M, et al. (1986). Production of an antibody-like factor in the sea star Asterias rubens: involvement of at least three cellular populations. Immunology. 57(3):479-482.
  4. Leclerc M, et al. (2019). J Vir Antiviral. 2:003.

Creative Commons License

© 2015 Mathews Open Access Journals. All Rights Reserved.

Open Access by Mathews Open Access Journals is licensed under a
Creative Commons Attribution 4.0 International License.
Based On a Work at Mathewsopenaccess.com