Mathews Journal of Pediatrics

2572-6560

Previous Issues Volume 10, Issue 2 - 2025

The Role of Alberto Peña in the Modern Concept of Functional Constipation in Children

Michael D Levin*

Dorot. Medical Center for Rehabilitation and Geriatrics, Netanya, Israel

*Corresponding Author: Michael D Levin, Dorot. Medical Center for Rehabilitation and Geriatrics, Amnon veTamar, Netanya, Israel, Tel: 972-538281393, Email: [email protected]

Received Date: September 03, 2025

Published Date: October 08, 2025

Citation: Levin MD. (2025). The Role of Alberto Peña in the Modern Concept of Functional Constipation in Children. Mathews J Pediatr. 10(2):46.

Copyrights: Levin MD. © (2025).

ABSTRACT

Systematic reviews on functional megacolon (functional constipation) have demonstrated that surgical management is supported by low-quality evidence, and no single procedure has been established as the standard of care. To further explore this issue, we analyzed the literature and the influence of Alberto Peña’s clinical experience. Publications by Peña and his collaborators lack scientific data on the normal and pathological anatomy and physiology of the anorectum and colon—knowledge that was developed by earlier generations. Moreover, the contributions of modern physiologists and adult colorectal surgeons have been largely ignored by pediatric surgeons, partly due to the misconception that pediatric colorectal surgery was created by A. Peña. However, Peña has not published any original research studies. He and his colleagues rely primarily on limited clinical experience, often presented in numerous articles proposing various diagnostic and treatment methods tested in small patient cohorts. Despite short postoperative follow-up periods—insufficient for assessing long-term outcomes, their publications often report positive results and advocate widespread adoption of these techniques. Unsatisfactory outcomes are frequently hushed up, and new, similarly unsubstantiated procedures are proposed. Many pediatric surgeons, emulating this model, continue to publish research in a scientific vacuum. These articles often describe new techniques co-authored by all doctors in the department, and do not compare the new methods with existing alternatives to confirm their superiority. A review of Peña’s publications and the broader body of literature on functional megacolon in children reveals a landscape marked by methodological inconsistency and lack of rigor, where the drive for publication appears to outweigh concern for patient benefit.

Keywords: Functional Constipation, Functional Megacolon, Surgery, Colonic Resection, Antegrade Enema, Senna, Conservative Treatment, Alberto Peña, Pathophysiology Chronic Constipation.

INTRODUCTION

The prevalence of chronic constipation (CC) in children ranges from 0.7% to 29.6%, with a median of approximately 12% [1]. For many years, studies on pediatric constipation have primarily focused on clinical presentation. Based on this data, a modern classification of CC has been developed, differentiating between organic and functional types. Organic causes include Hirschsprung’s disease, anorectal malformations, spina bifida, and postsurgical conditions. Functional constipation (FC) refers to cases where no structural or biochemical abnormalities can be identified, although in some instances, treatable underlying conditions such as hypothyroidism, celiac disease, allergies, and elevated levels of calcium or lead may be found and corrected [2].

All remaining cases that meet the diagnostic criteria established by international expert groups (Rome IV) are considered functional constipation [3,4]. According to the Rome IV criteria for infants and toddlers aged 1 month to 4 years, a diagnosis of FC requires at least two of the following symptoms: ≤2 defecations per week, a history of excessive stool retention, painful or hard bowel movements, large-diameter stools, or evidence of large stools in the rectum. In toilet-trained children, additional features may include at least one episode of fecal incontinence per week and a history of stool impaction that obstructs toilet passage [4].

These criteria reflect a common underlying feature of FC—rectal dilation, in which form a wide stool in response to increased rectal volume. Pediatric surgeons have referred to this condition as functional megacolon [5-8], or sometimes idiopathic megacolon [9-12], because dilatation of the rectum is always, although to varying degrees, accompanied by dilatation of the left half of the colon [9,11].

Pathophysiology

Constipation most commonly develops between the ages of 2 and 4 years, coinciding with the period of toilet training. Painful defecation is considered a primary contributing factor. Children often postpone bowel movements when engaged in play or distracted, and if defecation proves painful, they may begin habitually retaining stool. During this delay, the rectal mucosa absorbs water from the retained stool, resulting in progressively harder and larger fecal masses. This further exacerbates the difficulty of defecation. When the urge to defecate arises, children often adopt a withholding posture, sometimes hiding from parents until the sensation subsides. Passing these stools becomes painful and may cause anal fissures, intensifying the stool withholding. Over time, stool retention leads to rectal dilation (megarectum). It has been shown that children with megarectum develop a higher threshold for rectal sensation [13-15].

Manometric studies of the anorectal region have marked a significant advancement in understanding the pathophysiology of FC. One of the earliest such studies in children was conducted by Iwai et al., who evaluated patients with idiopathic megacolon. They found that pronounced internal sphincter relaxation, coupled with the absence or insufficiency of reflexive external sphincter relaxation in response to rectal distension, may contribute to obstructive symptoms [11]. Similar investigations have since been conducted, primarily in adult. In adult literature, several terms are used to describe defecatory dysfunction, including anismus, pelvic floor dyssynergia, obstructive defecation, paradoxical puborectalis contraction, pelvic outlet obstruction, and spastic pelvic floor syndrome [16]. All these terms describe the same phenomenon: during attempted defecation or as normal rectal balloon inflation, the internal anal sphincter (IAS) relaxes appropriately, but instead of the expected opening of the anal canal, the external anal sphincter (EAS) and puborectalis muscle (PRM) contract paradoxically.

Because the underlying cause of this phenomenon remains unclear, research interest has declined over time. Congress Rome IV after voting using the Delphi method ultimately categorized functional constipation as a disorder of gut-brain interaction with multifactorial pathophysiology [4].

1. A physiologic explanation for the so-called “paradoxical” puborectalis contraction arises from the understanding that stool retention and defecation are two distinct reflexes, both governed by intrarectal pressure. When rectal volume is low, incoming fecal matter incrementally increases intrarectal pressure. This triggers relaxation of the IAS but causes contraction of the EAS and PRM—known as the retention reflex. This reaction occurs rhythmically, approximately 18 times per hour. Only when rectal pressure rises sufficiently to permit defecation does the individual experience the urge to defecate. To achieve defecation, he must tense the abdominal wall to increase rectal pressure to the level necessary to induce the defecation reflex. If defecation is not possible, the rectum adapts to the increased volume, and intrarectal pressure decreases until the next lump stool enters. During this time, a reflex slowing of colonic peristalsis also occurs [17].

In patients with megarectum, triggering the defecation reflex requires recreating pressure the same as in a normal rectum. The volume of feces (balloon) that triggers the defecation reflex in healthy individuals, in megacolon causes less pressure, which is triggers a retention response, i.е., contraction of the EAS, and PRM [17,18]. Thus, this response is not paradoxical but physiologically consistent. Furthermore, the need for larger balloon volumes to induce rectal expulsion does not imply decreased rectal sensitivity.

2. In the pediatric literature, functional constipation is commonly divided into slow transit constipation and functional outlet obstruction. The former is characterized by prolonged colonic transit (usually defined as >62 hours), whereas the latter implies normal colonic transit with fecal retention confined to the rectum [15].

Our measurements of colonic width relative to age norms indicate that within six months of symptom onset, dilation of the rectum, sigmoid, and 70% descending colon is always present. The longer the duration of constipation, the more pronounced this dilation becomes. We propose a three-tier classification of functional megacolon (FM). In third-degree FM, even the right colon is frequently dilated. Because all degrees of this condition involve colonic dilation, the term functional megacolon is more appropriate than alternatives.

Moreover, dilation of the left colon indicates delayed stool passage and consequently slowed colonic transit [19,20]. As Shafik demonstrated, rectal dilation also triggers a reflex delay in gastric emptying [21]. Thus, despite variation in findings due to diagnostic modality or developmental stage, these observations consistently describe a single pathological process—FM is always associated with delayed stool transit, with the degree of delay increasing with the degree of megacolon.

Figure 1 illustrates lateral radiographs of the anorectal region in patients with varying degrees of megacolon.

Figure 1. Lateral radiographs of the anorectal region in patients with varying degrees of megacolon compared with normal.

a) In the normal rectum, forward rotation shifts the axis of the anal canal anteriorly relative to the anterior rectal wall, forming an acute anorectal angle.

b) Grade 1 megacolon. Rectal dilation results in loss of the horizontal branch of the rectum. Edema of the puborectalis muscle (PRM) creates concavity in the posterior rectal wall (arrow) due to compression of the PRM by wide fecal masses that struggle to pass through the anal canal.

c) Grade 2 megacolon. Further rectal stretching нивелирует the horizontal portion of the rectum. Due to PRM weakening, contrast penetrates the anal canal only when rectal pressure increases.

d) Grade 3 megacolon. Severe rectal dilation is accompanied by marked constant shortening of the anal canal, consistent with fixed descending perineum syndrome (DPS).

e) Grade 3 megacolon with DPS. A thin horizontal line indicates the width of the upper anal canal, which does not participate in fecal retention due to the stretching and weakening of the PRM. It is narrower than the rectum since its expansion is limited by pelvic floor musculature.

 As can be seen from the comparison of all radiographs, the value of the anorectal angle cannot be used to assess the state of the anorectal function. At the same time, shortening of the anal canal relative to the age norm is convincing evidence of damage to the PRM, which leads to impaired fecal continence. We determined the degree of megacolon using the formula:

Where:

  • C = megacolon constant, representing overall colonic enlargement regardless of age
  • R = maximum rectal width (cm)
  • c = projection distortion coefficient (ratio of the true diameter of a marker near the anus to its image width on the radiograph)
  • V = volume of barium contrast instilled up to the ileocecal valve (ml)
  • h = patient’s height (cm)

Values of C > 31 indicate megacolon, subdivided as follows:

  • Grade 1: C = 31–45
  • Grade 2: C = 45–60
  • Grade 3: C > 60

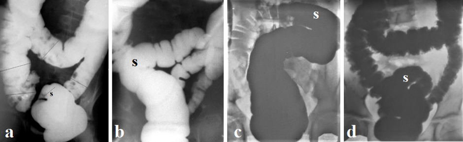
Figure 2 presents frontal radiographs of the colon during various stages of functional megacolon:

Figure 2. Frontal radiographs during the barium enema.

a) Normal anatomy: the rectum is not visible as its branches overlap in two projections. The sigmoid colon (s) is of normal caliber and located in the pelvis.

b) Grade 2 megacolon: the sigmoid colon is elongated and dilated.

c) Grade 3 megacolon: marked sigmoid and colonic dilation.

d) Advanced FM with colitis: asymmetrical haustration and poorly defined, "fluffy" colonic contours indicate inflammation. The dilated, elongated sigmoid colon reflects a history of severe constipation. Here, inflammation induced by prolonged fecal stasis narrowed the colonic lumen, leading to easier passage of stool and relief of constipation symptoms [18,19].

3. During defecation, coordinated contraction of various components of the levator ani muscle group generates a widening of the pelvic floor aperture, facilitating the opening of the anal canal and reducing resistance to fecal passage [17]. The diameter of this opening increases with age but remains mechanically constrained by the surrounding musculature.

In functional megacolon (FM), the diameter of formed stool frequently exceeds the maximum capacity of the anal canal. Consequently, even strong peristaltic waves are unable to expel these wide fecal masses effectively, leading to overstretching and progressive dysfunction of the puborectalis muscle (PRM). This condition is recognized as descending perineum syndrome (DPS) and is characterized clinically by fecal incontinence [22-24].

Childhood represents a critical period during which constipation can be effectively treated. Early intervention to ensure regular and complete rectal emptying may prevent progressive rectal dilation. Over time, as the child grows, the diameter of the anal canal increases. If the rectum has been emptied in a timely manner and has stopped expanding, a time may come when the width of the anal canal will correspond to the width of the rectum. This means the child recovered. More often the treatment process can take years.

In adults with chronic constipation, DPS is diagnosed using defecography performed while the patient defecates on a radiolucent commode. DPS is identified by caudal displacement of the rectal contrast relative to bony landmarks. In pediatric practice, this technique is generally avoided due to high radiation exposure. The use of a radiopaque marker placed near the anus during barium enema allows for assessment of DPS: a shortened functional anal canal observed on a lateral radiograph at the end of colonic filling is radiologic evidence of DPS (see Figure 1) [22-24].

4. Clayden and Lawson, in their study of children with treatment-resistant functional megacolon, reported that 4 out of 79 patients (5%) undergoing anal dilatation under anesthesia were found to have mild anatomical anal stenosis. Specifically, a “string stricture” at the mucocutaneous junction—approximately 1 cm from the anal verge—was observed, permitting passage of only two fingers instead of the expected four [25].

Such cases underscore the importance of differentiating structural stenosis from severe functional constipation, as inappropriate labeling of the latter as “intractable functional megacolon” may lead to unnecessary surgical interventions, whereas the appropriate treatment is a transanal dissection of the stenotic membrane.

Anal dilatation under anesthesia serves not only as a diagnostic tool but also as a therapeutic intervention in the comprehensive treatment of functional megacolon [26]. Given that the primary pathophysiological issue in FM is a mismatch between the diameter of stool formed in a dilated rectum and the limited patency of the anal canal, treatment should aim to ensure regular and complete evacuation of the colon over an extended period.

The goal of FM treatment is to support the gradual remodeling of the rectum and pelvic floor muscles: as the child grows, the anal canal may widen, and the rectal diameter may decrease, allowing stools to pass without obstruction.

Analysis of Alberto Peña's experience in surgical treatment for severe intractable idiopathic constipation

Conservative treatment and indications for surgery

The article by Bischoff and colleagues presents Alberto Peña’s clinical experience in managing children with idiopathic constipation (IC) [27]. The severity of constipation in these patients was evaluated based on the degree of colonic dilation and the amount of senna laxative required to achieve daily bowel emptying. The extent of colonic evacuation was assessed through serial plain abdominal radiographs over a 7-day period.

However, the methodology used raises several concerns:

1) Age-inappropriate evaluation: The width of colonic segments cannot be accurately assessed on frontal radiographs in children of varying ages without reference to established age-specific norms.

2) Imaging in the presence of fecal impaction: The contrast agent was administered despite fecal impaction, which contradicts standard gastroenterological guidelines. The apparent bowel width in such cases reflects the width of the fecal mass rather than true bowel diameter.

3) Incorrect evaluation of the rectum: Reliable assessment of rectal width requires prior evacuation and lateral imaging, given the anatomical curvature of the rectum in two planes [19].

According to the authors, patients with severe constipation who experience bloating and vomiting after receiving senna doses 10 to 15 times higher than the recommended level were classified as “drug-resistant” and referred for surgical treatment.

This approach lacks a scientific basis. Long-term use of high-dose senna—far exceeding pharmacopoeia recommendations—has been shown to cause irreversible colonic damage. The decision to perform surgery based on a child’s refusal to tolerate senna for seven days, due to severe pain and distress, is not only unsupported by evidence but raises serious ethical concerns. As stated by the authors: “In patients that were considered nonmanageable, a colonic resection was offered in attempt to reduce the amount of Senna that they needed to empty their colon” [27].

 The following recommendations are surprising:

1. How can the use of stimulant laxatives at 10–15 times the recommended dose be ethically or clinically justified? It is well established that stimulant laxatives increase colonic motility and raise IAS tone. Since the internal anal sphincter is a continuation of the circular smooth muscle layer of the rectum, senna-induced stimulation may exacerbate outlet obstruction, leading to bloating, pain, and vomiting. Operating on a child who cannot tolerate this artificially induced distress is neither evidence-based nor humane.

2. What about known risks of senna? Numerous studies have identified serious adverse effects associated with prolonged senna use, including hepatic and renal injury, colonic perforation, melanosis coli, and even possible carcinogenicity [28,29].

While intermittent, pharmacopoeia-guided senna use may have a role in the conservative treatment of chronic constipation—especially in reducing rectal diameter [30]—high dose, long-term administration in children is inappropriate and potentially harmful. In a related publication, Peña et al. described 22 patients who developed increased evacuation time and colicky abdominal pain in response to enemas [31]. Our analysis suggests that prolonged use of high dose senna impairs colonic motor function, especially in the left colon. Whereas enemas typically induce a mild sensation of movement, in these sensitized patients, they provoke severe pain consistent with irritable bowel syndrome (in the original sense of local visceral hypersensitivity) [32]. In such cases, senna acts as a damaging agent, and enemas function as pain triggers. This refers to the original use of the term "irritable bowel syndrome" and not to its later use, for non-localized abdominal pain associated with constipation or unstable stools.

3. Peña and coworkers practice resection of the sigmoid colon to reduce the dose of Senna in patients who were unable to empty the colon while taking large doses of Senna during a 7-day trial. "Patients in whom the treatment was not successful were younger than those in whom it was successful (7.6 versus 8.3 years old)" [27]. It follows that (1) the constipation in operated children appeared no more than 3-4 years ago and a megacolon grade of less than 3. (2) Such a short history in most patients allows one to expect a complete cure because of using various methods of complete colonic emptying over a long period. Simple retrograde enema in combination with laxatives and anal distension excluding anal stenosis are reasonable and effective methods. (3) Resection of the sigmoid colon does not eliminate the contradiction between the width of the remaining rectum and the damaged rigid anal canal. (4). The authors recommend resection of the sigmoid colon to reduce the dose of Senna, but they do not have long-term functional results.

 Surgical treatment methods of FM

1. The article by Gasior et al, show the stages of Peña's and Levitt's experiences: - “The senior author (Levitt) has previously reported: 1) open sigmoid resection as a surgical option, but this did not sufficiently reduce the laxative need, then 2) a transanal approach (with resection of rectosigmoid), but this led to a high rate of soiling due to stretching of the anal canal and loss of the rectal reservoir" [33]. The authors further write that the understanding of these procedures' results has led them to use a laparoscopic sigmoid ± left colonic resection with a Malone appendicostomy for these patients, to decrease the laxative requirements, temporarily treat with antegrade flushes, and to reduce postoperative soiling [33].

As shown in the article by Gasior et al. (2017), open sigmoid resection did not sufficiently reduce the laxative need [33]. This result was expected, since resection of the dilated sigmoid colon left the dilated rectum intact and did not eliminate the cause of the disease - the discrepancy between the width of the feces and the throughput of the anal canal. In this regard, it is impossible to understand why in another article (2017) with the participation of some authors from this group, patients with supposedly nonmanageable constipation were offered a colonic resection [27].

In the article by Levitt et al, the experience of Peña's group using the transanal approach (with resection of rectosigmoid) is described [34]. To reduce the intake of laxatives, the authors performed the Soave procedure, which was proposed by the author of the operation for the treatment of Hirschsprung's disease. An anastomosis of the colon was performed with the anal canal at the level of the dentate line. It follows that Peña's group resected 2/3 of the anal canal, leaving only the distal third. The authors recommended this operation because of 14 patients with more than 3 months of follow-up, the preoperative laxative dose was 68 mg of senna/d (range, 52-95 mg), which decreased to 8.6 mg postoperatively (P < .001). From an article by Gasior et al., we learned that 50% of these patients encountered soiling for over 6 months in the postoperative period owing to extensive stretching of the anal canal and loss of the rectal reservoir [33]. However, the causes of fecal incontinence were not explained correctly. It is obvious that fecal incontinence is caused by the resection of the rectum and colon along with 2/3 of the internal anal sphincter, which provides about 50% of fecal retention [17]. Thus, this operation had no scientific basis, which led to severe and irreversible results.

Unsuccessful searches for operations to reduce Senna doses and premature reports of supposedly good results did not stop the authors. Gasior et al. published preliminary data on 6 patients who underwent laparoscopic sigmoid and left colon resection, or only sigmoid resection (a low anterior resection) combined with a Malone appendicostomy. The article was published even though the median follow-up was 52 days (range, 8-304 days). This period does not allow us to judge the results, especially since five patients are on antegrade enemas with plans to convert to laxatives in 6 months, 1 is taking laxatives alone at a 33% lower dosage. Five of the six are completely clean, 1 soil occasionally and their daily flush is being adjusted. Since then, no long-term results from this operation have been published. The authors continue their experiments, even though they are not justified from the point of view of the pathological physiology of functional megacolon. By leaving the rectum dilated, they do not affect the cause of the disease - the discrepancy between the width of the feces formed in the dilated rectum and the patency of the anal canal. Therefore, these experiments condemn sick children to long-term use of antegrade enemas and repeated operations.

Our review covers only the experience of Peña and his colleagues, as well as the influence they had on the diagnosis and treatment of functional megacolon according to the literature. This disease is described under different names: functional constipation, idiopathic constipation, idiopathic megacolon, megarectum and megacolon, pelvic floor dyssynergia, obstructive defecation, etc. All the articles are connected by the lack of understanding of the etiology and pathophysiology of the disease, on which diagnostic and surgical innovations should depend. It is not surprising that in this “free floating”, where all pediatric surgeons claim that the cause of chronic constipation is unknown, or multifactorial, or due to a violation of the connection between the intestine and the brain, ideas appear that contradict reliable scientific facts, which create chaos. For example, in the article by Koppen et al. (2017), about the treatment of children with intractable functional constipation introduced the concept of the allegedly possible “segmental colonic dilation” [35]. The authors use this diagnosis, referring to cases of intestinal dilation, which are more often observed in infants. However, when analyzing these cases, I discovered that those authors used "segmental dilation" instead of atresia or stenosis as a diagnosis, which were the true causes of dilation of the intestinal segment over the narrowing. In the article by Koppen et al., the authors measured the width of the rectum using the method proposed by Koppen et al. [36]. In this article, the supposedly normal width of the rectum was calculated based on air contrast enemas in children younger than 6 years, in whom the frontal radiograph was taken during intussusception resolution. First, in patients with intussusception, mesenteric compression results in colon expansion. Second, reduction was performed under pressure greater than 100 mmHg, which leads to additional colon expansion. Third, the rectum can only be measured on a lateral radiograph. Fourth, the authors used an inaccurate method for determining the projection magnification coefficient [37]. Because of methodological errors the authors came to the incorrect conclusion that in normal children younger than 6 years, the width of the rectum can reach 6.5 cm, which is commonly used to define megacolon and megarectum in adults [36,37]. Figure 3 shows two methods for determining the width of the rectum.

Figure 3. Two methods for determining the width of the rectum.

a) Measurement of the maximum width of the rectum on a lateral radiograph of a 14-year-old patient. Knowing the true diameter of the radiopaque marker located near the anus (1.6 cm), we calculated the true diameter of the rectum (4.5 cm). The age norm is 3.6–4.6 (3.95±0.07 cm).

b) Radiograph from the article by Koppen et al. [35].

c) In the copy of (b), I have shown that in the frontal projection there is a combination of shadows of two branches of the rectum. A sharp expansion of all parts of the colon is due to a decrease in tone caused by the disease (intussusception) and distension of the intestine under high pressure.

d) The lateral radiograph shows a wide fecal stone in the rectum. The peristaltic wave (arrow) strives to expel the stone through the anal canal, but since the width of the anal canal cannot pass feces of this size, the fecal stone stretches the muscles of the pelvic floor. This leads to stretching of the PRM. Shortening of the anal canal (yellow line represents the length of the functioning part of the anal canal; red line is normal anal canal length) is evidence of descending perineum syndrome.

Thus, because of methodological errors, the authors obtained a result that contradicts common sense, since the width of the rectum in children under 6 years of age cannot in principle be the same as in adults. This false result led to another false result. In the study by Koppen et al [35], the dilated rectum in children with intractable functional constipation was assessed as normal in size, which led to a false statement about the possibility of segmental colonic dilation. Such disregard for common sense can only be explained by the fact that Koppen IJN in both cases received grants for advertising high resolution manometry. As a result, a supposedly scientific justification was proposed for resection of the dilated segment, which, as shown above, not only does not relieve children of the disease, but does not help to reduce the number of laxatives [33].

Is the use of antegrade enema justified for the treatment of children with functional megacolon?

Antegrade enema was first proposed for adult patients after resection of anorectal tumors to enable them to care for themselves. This technique is quite reasonable for children with spina bifida. However, in children with functional megacolon who are under parental care, bowel cleansing is possible with retrograde enemas. There is no evidence in the literature that antegrade enema is better than retrograde, although in both cases fluid is introduced into the colon to expel feces. Therefore, we compare the characteristics of these methods separately.

Antegrade enema: (1). It begins with surgery. Fluid passes from the cecum through the entire colon to the anal canal, while feces accumulate in the rectum and less often in the sigmoid colon. (2). Consequently, the fluid continuously washes out the contents of the right half of the colon, including the intestinal flora. It is known that the intestinal flora promotes intestinal mucosal integrity, provides essential nutrients such as vitamins and enzymes, protects the body against pathogens and produces antimicrobial peptides such as defensins, C-type lectins, cathelicidins, they also play an active role in the innate and adaptive immune system. Gut microbial flora plays an active role in the synthesis of short-chain fatty acids such as butyrate, propionate and acetate. Gut microbiota also plays a significant role in the cognitive and behavioral functions of the host [38,39]. (3). Complications of antegrade enema. According to Saikaly et al. 68% of patients had at least one complication, 23.7% of patients developed stomal stenosis, and 27.8% of patients had significant stomal leakage [40]. (4). Long-term results from a systematic review by Jonker et al. vary widely. Treatment success rates, ranging from 32% to 100%. ACE treatment was stopped at 15% due to treatment success and in 8% due to treatment failure, leading to more invasive surgery. Complication rates ranged from 6% to 100%, requiring surgical intervention in 0% to 34% [41]. Sturkenboom et al. estimates an overall success rate of 37% [42].

Retrograde enema does not involve surgery, does not flush out the colon of healthy intestinal flora, and is not associated with any complications or repeated operations. Very few articles have been devoted to this method, perhaps because the old method is breaking the triumph of a fashionable trend. However, Koch et al., after using retrograde enema in adults with chronic constipation, concluded that retrograde colonic irrigation is an undervalued but effective alternative treatment for intractable defecation disorders [43]. Matsuno et al., compared the results of retrograde and antegrade enemas in the treatment of children with spina bifida. Fecal continence was achieved for 10 of 13 (76.9%) in the retrograde group and 9 of 12 (75.0%) in the antegrade group. In the antegrade group, 8 of 12 (66.7%) performed the procedure independently, while 3 of 13 (23.1%) did so in the retrograde group. Achievement of fecal continence did not differ between the groups, but procedure independence was significantly better in the antegrade group [44]. Recently, retrograde enema has become popular under the name “Transanal irrigation” [45,46].

Is there a need for surgical treatment in children with functional megacolon?

An analysis of the works of Peña and his colleagues reveals a surprising phenomenon that is not typical for science. Their works do not rely on the achievements of scientists of previous generations, as if the authors do not know or ignore them. They also ignore the modern achievements of physiologists and adult surgeons, as if children are not the same people. It seems that Peña has become an idol of pediatric surgeons. This status for a long time turned his unfounded ideas into recommendations, without the use of which it was impossible to publish a scientific article.

Peña and his colleagues tried to introduce different surgical interventions for FM without scientific justification and each time published articles about their effectiveness in reducing the number of laxatives months after the operations. The long-term results of the operations proposed by Peña and his colleagues have not yet been published. The combination of resection of the extended segment with antegrade enema became a cover for unsatisfactory results. Tamura and Jaffray, analyzing three different types of resections, concluded that «there may be a role for colonic resection in selected constipated children, but parents should be warned that there remains a significant possibility of a permanent stoma. Our study suggests that around two-fifths will be left with a permanent stoma" [47].

On indications for bowel resection

Functional megacolon is a disease with a single etiology and pathogenesis. However, the degree of megacolon may be different. At the 3rd degree, the slowing of fecal movement along the colon and dysmotility are more pronounced. This factor only indicates that conservative treatment of these patients should be longer with the use of all methods that ensure timely emptying of the colon. However, Peña and his colleagues believe that children who could not withstand the pain during short testing with large doses of Senna were nonmanageable. 19% ultimately underwent colonic resection [27]. As subsequent studies have shown, this operation does not significantly reduce the number of laxatives [33]. At the same time, Bischoff does not recommend all other methods of conservative treatment that over time reduce the width of the rectum (Botox injections, enemas in general, including antegrade ones) [27].

Another group of authors considers the combination of manometry testing and contrast enema studies as an indication for surgical management of children with FC by identifying dysmotility colonic segments as an indication for resection of a dilated colon segment. At the same time, they mistakenly consider the normal width of the rectum to be 6.5 cm, which is the norm for adults. It led to the erroneous assertion about the possibility of segmental expansion of the colon [35-37].

Gupta et al. performed only mini procedures for antegrade enemas in children with intractable constipation. Sixty-seven children aged 8.6 (3.3-15.1) years underwent surgery, which consisted of an antegrade enemas. Depending on manometry, these were ACE, colostomy or ileostomy. At 3.2 years (4 months-9.9 years) follow-up, 18 remain on ACE washouts, 9 have colostomy, 19 ileostomies, and 10 (17%) are off treatment and doing well [48].

I propose to compare the treatment of antegrade enema with retrograde. From a theoretical point of view, as shown above, they are equivalent in the effectiveness of bowel cleansing. However, antegrade enemas are an operation. They are associated with complications that sometimes lead to repeated operations, and, in addition, have a negative effect on the patient's health. Since the early 80s of the last century [20,9] and up to the present day, in the Belarusian Center for Children's Surgery (Minsk), only conservative treatment has been and is being performed for functional megacolon, which includes anal distension under anesthesia according to the method described by Clayden and Lawson [25,26]; cleansing enemas in hospital and at home; laxatives in doses permitted by the pharmacopoeia and physiotherapy. The health condition of these patients did not give rise to concern and as far as is known, did not burden their life in the family and in the community. It is possible that the patients who underwent this treatment, having become adults, underwent surgical treatment in other hospitals. But neither I nor the head of the center, Prof. V.I. Averin, know about this.

An analysis of the situation in pediatric colorectal surgery allows us to ask the question: - Is there a place for surgical treatment in children with functional megacolon? [49].

CONCLUSION

The articles by Peña and his colleagues do not contain scientific information on the normal and pathological anatomy and physiology of the anorectum and colon, which were obtained through the efforts of previous generations. In addition, all the modern achievements of physiologists and adult surgeons are not considered by pediatric surgeons, because the idea has been created that pediatric colorectal surgery was created by Alberto Peña. However, A. Peña did not publish a single scientific study. He and his colleagues refer to their experience, which is expressed in numerous articles, where they propose different methods of examination and treatment, tested on a small number of patients. Despite the short period after the operations, when it is impossible to judge the results, the authors claim a positive effect and propose operations for widespread use. Since they ignore scientific achievements, the operations they propose are not justified and harm patients. However, they do not admit mistakes, arbitrarily interpret unsatisfactory results and move on to other unfounded experiments. The wide publication of Peña's articles is explained; firstly, by his status as an idol, which he established himself with thanks to the massive propaganda of the posterior sagittal approach (PSARP) for anorectal malformations (ARM). In relation to ARM, he behaved harshly, not allowing the publication of articles that contradicted his ideas. He and his co-authors did not recommend publishing articles that contradicted the decisions of the Krickenbeck classification (2005). In relation to chronic constipation in children, he and his colleagues experimented freely. Other pediatric surgeons like their idol, experiment in a scientific vacuum. As research papers, results using fashionable methods are published with the authorship of all the doctors of the department. At the same time, the fashionable method is not compared with previous analogues to prove its advantages. A review of the articles by Peña and his followers, as well as the general state of knowledge on functional megacolon in children, creates an impression of chaos, in which the authors' goal is to publish as many articles as possible to advance their careers, regardless of the value (or detriment) to patients.

ACKNOWLEDGEMENTS

None.

CONFLICT OF INTEREST

The author has no conflict of interest.

REFERENCES

  1. Mugie SM, Benninga MA, Di Lorenzo C. (2011). Epidemiology of constipation in children and adults: a systematic review. Best Pract Res Clin Gastroenterol. 25(1):3-18.
  2. Chogle A, Saps M. (2013). Yield and cost of performing screening tests for constipation in children. Can J Gastroenterol. 27(12):e35-e38.
  3. Boccia G, Manguso F, Coccorullo P, Masi P, Pensabene L, Staiano A. (2007). Functional defecation disorders in children: PACCT criteria versus Rome II criteria. J Pediatr. 151(4):394-98, 398.e1.
  4. Zeevenhooven J, Koppen IJ, Benninga MA. (2017). The New Rome IV Criteria for Functional Gastrointestinal Disorders in Infants and Toddlers. Pediatr Gastroenterol Hepatol Nutr. 20(1):1-13.
  5. Olness K. (1976). Autohypnosis in functional megacolon in children. Am J Clin Hypn. 19(1):28-32.
  6. Romańczuk W. (1989). Megacolon functionale u dzieci [Functional megacolon in children]. Pol Tyg Lek. 44(4):89-91.
  7. Chromá O, Dragula M, Buchanec J, Slamen J, Marcek I. (1989). Psychoterapia v liecbe enkoprézy u detí s idiopatickým megakolonom [Psychotherapy in the treatment of encopresis in children with idiopathic megacolon]. Cesk Pediatr. 44(11):650-652.
  8. Kirgizov IV, Minaev SV, Shishkin I, Aprosimova S, Ukhina L. (2019). Surgical treatment of idiopathic megarectum in constipated children. J Pediatr Surg. 54(7):1379-1383.
  9. Levin MD. (1989). Funktsiona'lnyĭ megakolon u deteĭ [Functional megacolon in children]. Pediatriia. 1989(8):22-27.
  10. Kirgizov IV, Minaev SV, Shishkin I, Aprosimova S, Ukhina L. (2019). Surgical treatment of idiopathic megarectum in constipated children. J Pediatr Surg. 54(7):1379-1383.
  11. Iwai N, Ogita S, Kida M, Nishioka B, Fujita Y, Majima S. (1979). A manometric assessment of anorectal pressures and its significance in the diagnosis of Hirschsprung's disease and idiopathic megacolon. Jpn J Surg. 9(3):234-240.
  12. Pugachev AG, Leniushkin AI, Klimanov VV. (1973). O tak nazyvaemom idiopaticheskom megakolon u deteĭ [So-called idiopathic megacolon in children]. Vestn Khir Im I I Grek. 111(12):42-46.
  13. Park M, Bang YG, Cho KY. (2016). Risk Factors for Functional Constipation in Young Children Attending Daycare Centers. J Korean Med Sci. 31(8):1262-1265.
  14.  Croffie JM. (2006). Constipation in children. Indian J Pediatr. 73(8):697-701.
  15. Xinias I, Mavroudi A. (2015). Constipation in Childhood. An update on evaluation and management. Hippokratia. 19(1):11-19.
  16.  Koppen IJN, Benninga MA. (2022). Functional Constipation and Dyssynergic Defecation in Children. Front Pediatr. 10:832877.
  17. Levin MD. (2021). Anatomy and physiology of anorectum: the hypothesis of fecal retention, and defecation. Pelviperineology. 40(1):50-57.
  18. Levin MD. (2023). Etiology and pathogenesis of megacolon in children. Review. Qeios (Preprint). Available at: https://doi.org/10.32388/ABABM8
  19. Levin MD. (2024). Functional megacolon in children (etiology, pathogenesis, diagnosis): a review. Journal of pediatrics, perinatology and child health. 8(4):189-198.
  20. Levin MD, Misharev OS. (1983). Funktsional'nyĭ megakolon u deteĭ [Functional megacolon in children]. Pediatriia. (8):20-24.
  21. Shafik A, El-Sibai O. (2000). Esophageal and gastric motile response to rectal distension with identification of a recto-esophagogastric reflex. Int J Surg Investig. 1(5):373-379.
  22. Chaudhry Z, Tarnay C. (2016). Descending perineum syndrome: a review of the presentation, diagnosis, and management. Int Urogynecol J. 27(8):1149-1156.
  23. Levin MD. (2015). [Descending perineum syndrome in children: Pathophysiology and diagnosis]. Vestn Rentgenol Radiol. 2015(5):27-35.
  24. Levin MD. (2018). Pathophysiology and diagnosis of descending perineum syndrome in children. Pelviperineology. 37(2):52-56.
  25. Clayden GS, Lawson JO. (1976). Investigation and management of long–standing chronic constipation in childhood. Arch Dis Child. 51(12):918-923.
  26. Levin MD, Mendelson G. (2024). Late diagnosis of congenital anal canal stenosis. Case report and literature analysis. Gastroenterol Hepatol Open Access. 15(4):126-129.
  27. Bischoff A, Brisighelli G, Dickie B, Frischer J, Levitt MA, Peña A. (2018). Idiopathic constipation: A challenging but manageable problem. J Pediatr Surg. 53(9):1742-1747.
  28. Posadzki P, Watson LK, Ernst E. (2013). Adverse effects of herbal medicines: an overview of systematic reviews. Clin Med (Lond). 13(1):7-12.
  29. Leung L, Riutta T, Kotecha J, Rosser W. (2011). Chronic constipation: an evidence-based review. J Am Board Fam Med. 24(4):436-451.
  30. Levin MD. (2018). Letter to the Editor. J Pediatr Surg. 53(8):1634-1635.
  31. Peña A, De La Torre L, Belkind-Gerson J, Lovell M, Ketzer J, Bealer J, et al. (2021). Enema-Induced spastic left colon syndrome: An unintended consequence of chronic enema use. J Pediatr Surg. 56(2):424-428.
  32. Levin MD. (2021). Why and when does an enema provoke abdominal pain? Reaction to the article by Peña et al. J Pediatr Surg. 56(6):1252-1253.
  33. Gasior A, Brisighelli G, Diefenbach K, Lane VA, Reck C, Wood RJ, et al. (2017). Surgical Management of Functional Constipation: Preliminary Report of a New Approach Using a Laparoscopic Sigmoid Resection Combined with a Malone Appendicostomy. Eur J Pediatr Surg. 27(4):336-340.
  34.  Levitt MA, Martin CA, Falcone RA Jr, Peña A. (2009). Transanal rectosigmoid resection for severe intractable idiopathic constipation. J Pediatr Surg. 44(6):1285-1290.
  35. Koppen IJN, Thompson BP, Ambeba EJ, Lane VA, Bates DG, Minneci PC, et al. (2017). Segmental colonic dilation is associated with premature termination of high-amplitude propagating contractions in children with intractable functional constipation. Neurogastroenterol Motil. 29(10):1-9.
  36. Koppen IJ, Yacob D, Di Lorenzo C, Saps M, Benninga MA, Cooper JN, et al. (2017). Assessing colonic anatomy normal values based on air contrast enemas in children younger than 6 years. Pediatr Radiol. 47(3):306-312.
  37. Levin MD. Reaction to Koppen et al., (2018). 'Assessing colonic anatomy normal values based on air contrast enemas in children younger than 6 years'. Pediatr Radiol. 48(11):1674-1677.
  38. Guarner F, Malagelada JR. (2003). Gut flora in health and disease. Lancet. 361(9356):512-519.
  39. Pushpanathan P, Mathew GS, Selvarajan S, Seshadri KG, Srikanth P. (2019). Gut microbiota and its mysteries. Indian J Med Microbiol. 37(2):268-277.
  40. Saikaly SK, Rich MA, Swana HS. (2016). Assessment of pediatric Malone antegrade continence enema (MACE) complications: Effects of variations in technique. J Pediatr Urol. 12(4):246.e1-6.
  41. Jonker CAL, van der Zande JMJ, Benninga MA, de Jong JR, Di Lorenzo C, Lu PL, et al. (2025). Antegrade Continence Enemas for Pediatric Functional Constipation: A Systematic Review. J Pediatr Surg. 60(1):161952.
  42. Sturkenboom R, van der Wilt AA, van Kuijk SMJ, Ahmad A, Janssen PT, Stassen LPS, et al. (2018). Long-term outcomes of a Malone antegrade continence enema (MACE) for the treatment of fecal incontinence or constipation in adults. Int J Colorectal Dis. 33(10):1341-1348.
  43. Koch SM, Melenhorst J, van Gemert WG, Baeten CG. (2008). Prospective study of colonic irrigation for the treatment of defaecation disorders. Br J Surg. 95(10):1273-1279.
  44. Matsuno D, Yamazaki Y, Shiroyanagi Y, Ueda N, Suzuki M, Nishi M, et al. (2010). The role of the retrograde colonic enema in children with spina bifida: is it inferior to the antegrade continence enema? Pediatr Surg Int. 26(5):529-533.
  45. Pini Prato A, Perretti C, Erculiani M, Mottadelli G, Taverna M, Giordano F, et al. (2024). A Structured Training for Trans Anal Irrigation in Pediatric Patients Improves Outcomes and Reduce Failures: Results of an Interventional Multicenter Prospective Study. J Pediatr Surg. 59(9):1806-1815.
  46. Caponcelli E, Meroni M, Brisighelli G, Rendeli C, Ausili E, Gamba P, Marte A, et al. (2021). Transanal irrigation (TAI) in the paediatric population: Literature review and consensus of an Italian multicentre working group. Pediatr Med Chir. 43(1). DOI: 10.4081/pmc.2021.250.
  47. Tamura R, Jaffray B. (2020). Outcomes of colonic resection for chronic idiopathic constipation in childhood. J Pediatr Surg. 55(2):269-272.
  48. Gupta A, Basson S, Borrelli O, Lindley K, Thapar N, Saliakellis E, et al. (2020). Surgically treated intractable constipation in children evaluated with colonic manometry. J Pediatr Surg. 55(2):265-268.
  49. Levin MD. (2019). Functional constipation in children: Is there a place for surgical treatment. J Pediatr Surg. 54(3):616-617.

Creative Commons License

© 2015 Mathews Open Access Journals. All Rights Reserved.

Open Access by Mathews Open Access Journals is licensed under a
Creative Commons Attribution 4.0 International License.
Based On a Work at Mathewsopenaccess.com