Mathews Journal of Gastroenterology & Hepatology

2572-6471

Previous Issues Volume 10, Issue 3 - 2025

Belching Pathophysiology

Michael D Levin*

Dorot. Medical Center for Rehabilitation and Geriatrics, Netanya, Israel

*Corresponding Author: Michael D Levin, MD, Ph.D, Dorot. Medical Center for Rehabilitation and Geriatrics, Department of Pediatric Radiology of the 1-st State Hospital, Minsk, Belarus, Dorot. Medical Center for Rehabilitation and Geriatrics, Amnon veTamar, Netanya, Israel, Tel: 972-538281393, Email: [email protected]

Received Date: October 13, 2025

Published Date: October 29, 2025

Citation: Levin MD. (2025). Belching Pathophysiology. Mathews J Gastroenterol Hepatol. 10(3):35.

Copyrights: Levin MD. © (2025).

ABSTRACT

Introduction: Currently, it is believed that since a person swallows a large amount of air during a meal, belching is a normal phenomenon to get rid of it. Based on pH monitoring, a distinction is made between gastric belching (GB) and supragastric belching (SGB). Belching less than 13 per day is considered a physiological norm. However, pH monitoring defined normal limits by examining patients with typical GERD symptoms, where esophageal acid exposure time (AET) was <4%. Since the control individuals were not healthy, the results of pH monitoring diagnostics cannot be considered correct. Purpose & Methods: To increase the accuracy of determining the pathogenesis of belching, we conducted studies of the gas bubble size on chest radiographs in people of different ages, as well as determination of the belching frequency in people of different ages and its relationship with GERD symptoms using a questionnaire and comparing these results with literature data. Results: The height and width of the gas bubble are the same in children and adults, but over 60 years of age, a decrease in these parameters is observed, and radiographs appear without a gas bubble. The results of the questionnaire show that in the age group under 20, belching was noted in only 25% of cases and in these individuals, belching was combined with GERD symptoms. With age, the frequency of belching progressively increased. In the age group over 70, belching was observed in 90% of respondents and in all cases, it was combined with symptoms. Conclusion: Analysis of literature and our own research prove that belching occurs because of relaxation of the LES damaged by gastric chyme. Since belching does not occur in healthy individuals, it is a reliable sign of GERD. The absence of belching in healthy individuals indicates that air enters the intestines and is utilized in it. The pathophysiology of the so-called supragastric belching, which occurs as a more severe stage of GERD and is characterized by dilation of the esophageal lumen, is shown.

Keywords: Belching, Gastroesophageal Reflux Disease, Transitional Lower Esophageal Sphincter Relaxation, Pathophysiology GERD, Gas Bubble Stomach.

INTRODUCTION

The symptom of belching this is the noisy short-term release of gas from the mouth, which rarely occurs at night and most often after eating. The literature describes two different opinions on the etiology and physiology of belching. These differences significantly affect the methods of treating patients. This study is devoted to the scientific analysis of two hypotheses.

The generally accepted hypothesis

The most recent literature review on belching by Sawada et al. [1] fully reflects the "conventional" opinion. It concentrates on the ideas that are referred to in all publications on this topic. Based on studies of patients using pH monitoring, twenty-four-hour impedance-pH monitoring, high-resolution manometry (HRM), and high-resolution impedance manometry (HRIM), it is argued that gastric belching is a reflux of gas from the stomach into the esophagus. This physiological mechanism allows swallowed air collected in the fundus of the stomach to escape during transient lower esophageal sphincter (LES) relaxation (TLESR). However, if belching is bothersome when excessive, then according to the consensus decisions (Rome IV), adopted by the Delphi method, such belching is a painful condition.

Belching disorders are further classified into excessive gastric belching (GB) and supragastric belching (SGB). Together with them, rumination syndrome (RS) is considered, which is described as the reflux of liquid gastric contents into the mouth, which occurs because of transient lower esophageal sphincter relaxation and opening of the upper esophageal sphincter (UES). In SGB, the air comes into the esophagus and, not reaching the stomach, exits from the mouth. It is believed that physiological belching occurs in healthy individuals. Excessive GB is related to physiological phenomenon whereas excessive SGB and RS are behavioral disorders resulting from a disorder of the interaction between the intestine and the brain. These authors, when using, off-PPI impedance-pH monitoring (MII-pH) found the prevalence of pathological SGB (>13 episodes/24 h) as 37.7% in non-erosive reflux disease (i.e., acid exposure time <4% and positive reflux-symptom association) and 22% in functional heartburn (i.e., acid exposure time <4% and negative reflux-symptom association). Importantly, both excessive SGB and rumination were related to approximately 40% of typical reflux symptoms (i.e., heartburn, regurgitation, and/or chest pain) in RH. Thus, in representatives of the generally accepted hypothesis pH monitoring and impedance-pH monitoring serve as diagnostic methods for determining the type of belching and a guide for choosing treatment.

Analysis of the generally accepted hypothesis

General comments: (1). The peer-reviewed work does not refer to normal physiology of the esophagus and LES, as if scientists knew nothing about it before using the advertised equipment. (2). The article mentions that there is an opinion that patients "with excessive SGB and /or RS are frequently regarded as having refractory GERD". However, the references point to articles by opponents of this opinion, including the authors of the review. (3). The article does not refer to research proving the correctness of fundamentally important statements. For example, the statement about the disruption of the brain-gut axis is based on the frequent combination of severe symptoms characteristic of GERD, resistant to PPI treatment, with the nervous state of the patient. At the same time, it is completely ignored that any severe diseases that disrupt the normal life of the patient are accompanied by a disruption of the nervous state. (4). Thus, the article under review is a lecture, where instead of reliable evidence, a huge number of assumptions are presented, expressed in other articles or proposed at congresses during voting. The repeated repetition of any assumption creates the false impression that it is an axiom.

Is transient lower esophageal sphincter relaxation a normal response to increased pressure in the stomach?

Shafik et al, in a study on volunteers undergoing abdominal hernia surgery, found that coughing and straining effected an increase of the LES EMG activity. This reflex is provoked by an increase in intra-abdominal pressure and to affect LES contraction, thus, prevention of gastroesophageal reflux [2]. The same authors in an experiment on dogs expanded the balloon in the stomach in volumes from 20 to 120-120 ml. Filling the gastric balloon with more than 20 ml H₂O showed a gradual increase in LES pressure to 110-120 ml of gastric filling. The upper esophageal sphincter pressure increased only with a gastric filling volume exceeding 100-110 ml and continued to increase with increasing gastric filling [3]. Franzi et al showed that distension of the intact stomach, lesser curve, or proximal stomach in 12 dogs produced a progressive increase in lower esophageal sphincter (LES) pressure. Both the fundus and antrum of the stomach had significantly higher thresholds for TLESR (96 and 105 mmHg.cm [4]. Simultaneous measurement of pressure in the stomach and LES during gradual compression of the abdominal wall revealed an increase in LES tone. The dependence of the change in LES pressure on the pressure in the stomach was consistent with the law by La Place [5].

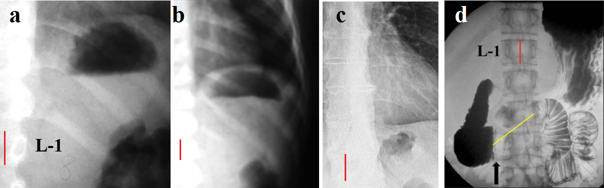
By applying abdominal compression during barium swallow, I found contraction of the LES, which is the non-contrast space located between esophagus and stomach contrasted with barium (Figure 1.a). I measured its length in people of different ages who had recently developed gastroesophageal problems. Since the measurement results were completely consistent with the results of manometric measurements, I believe that they are close to the true norm [6]. In adults, the length of the LES was in the range of 3.2-4.2 cm (3.60±0.08 cm) [7]. In patients with GERD, the length of the LES was shorter than the minimal limit of norm and depended on the degree of damage to the LES, the strength and duration of the provocation (the magnitude of gastric pressure). These findings were completely consistent with manometric [8] and histological studies [9], indicating a shortening of the LES in GERD due to the opening of its intra-abdominal part (Figure 1 b-e).

Figure 1. Radiographs of the esophagogastric junction in patients GERD with abdominal compression during barium intake. (a). A gap without contrast is seen between the esophagus and stomach due to contraction of the LES in response to increased pressure in the stomach. Longitudinal folds in the LES and esophagus indicate esophagitis. (b-c). After filling the stomach with barium (b). During the water-siphon test, barium refluxed into the esophagus due to wide opening of the intra-abdominal portion of the LES – angular deformation above the red line (c). (d). Study of the patient before and (e) during abdominal compression. Abdominal compression caused a sharp shortening of the LES with angular deformation of the image because of opening of the intra-abdominal portion of the LES.

Based on the study by Shafik et al. [3], which demonstrated that high gastric pressure causes contraction of both the UES and LES, I was the first to use radiographic imaging of the esophagus and LES under maximal gastric pressure, which allowed us to measure the length of the functional portion of the LES. In addition, the simultaneous contraction of the UAS and LES caused swallowed barium to become trapped between the contracted sphincters, which allowed us to measure the width of the esophagus, detect functional sphincters, esophageal stenosis, and changes in its contour [7]. This method can be part of an X-ray examination of the esophagus, stomach, and duodenum or as an independent study if the suspicion of GERD was not confirmed after endoscopy. The patient, lying on the X-ray table, continuously drinks barium suspension through a straw from a jar standing at his head. When the barium runs out (200-250 ml), he immediately raises his straightened legs. At this moment, an x-ray is taken from the pharynx to the body of the stomach. It should be noted that a delay between the last swallow and the raising of the legs may necessitate a repeat examination because the x-ray will only show traces of barium in the esophagus since during this time all the contrast agents will penetrate the stomach. After the first radiograph, the subject gets up, but after 5 minutes he lies down again on the X-ray table. A second radiograph is taken at rest to determine the completeness of barium evacuation into the stomach and the possibility of free reflux (Figure 2).

Figure 2. Radiographs of patients with GERD were taken at the maximum gastric pressure. (a). Since the height of D10 in adults is approximately 2 cm (red line), the length of the contracted LES between the two blue dots is 1 cm, which is significantly less than the minimum normal limit (3.2 cm) [7]. It is combined with a sharp dilation of the esophagus – 2.3 cm instead of 1.7 cm. (b). At 5 minutes, the straightened walls of rigid anatomy gastritis (a) are visible. The duodenal bulb (d) has a star shape, indicating duodenitis. The contraction of the Ochsner sphincter (red line, 2 cm long) confirms the presence of hydrochloric acid hypersecretion. (c). Since the height of L1 is 2.2 cm, the length of the contracted LES between the two blue dots is 1 cm, which is significantly less than the minimum normal limit (3.2 cm). The width of the ampulla above the LES is 3.1 cm. The contours of the esophagus indicate an inflammatory process.

In 59 of 60 patients with at least one symptom characteristic of GERD, the diagnosis was confirmed by the method described above. Among them, there were two patients in whom pH monitoring excluded GERD, since the acid exposure time (AET) was < 4%. One patient had no pain syndrome. The study was ordered due to suspicion of non-esophageal symptoms of GERD, which was excluded [7]. The observations shown in Figure 2 convincingly indicate that GERD is the tip of the iceberg, which occurs due to hypersecretion of hydrochloric acid and is therefore always accompanied by pathology of the stomach, duodenum and biliary tract. These diseases leave their mark on the clinical picture. Recently, against the background of PPI treatment, ulcerative lesions of the stomach and duodenum are very rare. Histological studies are not performed in the absence of erosion. The presence of acid in the esophagus with a pH of less than 4 for less than 1.5 hours is mistakenly recognized as normal [1]. For these reasons, many supposedly functional diseases have been invented, because of which patients with hypersecretion of hydrochloric acid do not receive timely pathogenetic treatment [11-13].

Skeletal muscles are capable of two types of contraction: tonic and mechanical. Tonic prolonged contraction explained by the postural reflex. Each nervous axon has connection to the muscle fibers scattered throughout the muscle. Therefore, even a small amount of contracted muscle fibers results in a contraction of the whole muscle. The muscle tone depends on the number of fibers participating in the contraction, i.e. from the percentage of axons activating muscle contraction. The prolonged tonic contraction is due to the continuous replacement of an activated the different groups of muscle fibers. At different times the different groups of the muscle fibers are contracted. During the contraction of one group other groups restore ability to contract [13,14]. Subsequently, this method of tonic contraction began to be described for smooth muscle sphincters [15,16].

The esophagogastric junction is designed to prevent aggressive bolus from entering the esophagus from the stomach. The tone of the LES responds to pressure in the stomach. Normally, an increase in pressure in the fundus of the stomach causes an increase in the tone of the LES. After eating, because of receptive relaxation of the stomach, the pressure in it decreases, which leads to a decrease in the tone of the LES. After the secretion of gastric juice, gastric peristalsis begins, but the pressure increases only in the antral section, which protects the LES from the need for increased tone. The GERD occurs because of damage to the LES by excess hydrochloric acid. Its functioning part gradually shortens, primarily due to the opening (failure) of the intra-abdominal part. At high pressure in the stomach, the LES contracts briefly, but since the contracted part is not replaced by contraction of muscles of the affected area, then soon after the contraction, the proximal part of the LES, having spent energy resources (ATP), relaxes. Due to damage to the stomach, the reflex of receptive relaxation is impaired, evacuation from the stomach is impaired, the function of the antral sphincter is impaired, which leads to increased pressure in the fundus. Therefore, soon after eating, when gastric juice begins to arrive, the LES cannot withstand the load and relaxes. Acid bolus, entering the esophagus, causes pain (bloating, globus, heartburn, pain behind the breastbone), belching, coughing. The pathophysiology of non-esophageal symptoms can be understood on x-ray with high pressure in the stomach (Figure 3).

Figure 3. A 72-year-old man complained of a debilitating cough, change in voice, and a sensation of a foreign body in the throat for 4 months. For a month he woke up at night because he was choking on saliva. About 15 years ago he had heartburn, which went away only after swallowing a tablet with a diameter of about 3 cm. Since then, he has been considered healthy. (a). The length of the LES is 1 cm. Expansion of the esophageal ampulla and symmetrical narrowing of the esophagus at the level of the aortic arch (arrow) are detected. (b). After 5 minutes, free reflux of barium from the stomach into the esophagus to the level of the aortic arch is determined. The patient swallowed a tablet with a diameter of 1.9 cm. After this, he stopped choking on saliva at night. This is a typical example of the formation of a functional sphincter over the aortic narrowing of the esophagus. The contraction of the short LES for several seconds during the straight legs was replaced by relaxation of the LES because of resource depletion.

The idea that transient lower esophageal sphincter relaxation can occur in healthy individuals arose because of the use of pH monitoring in the esophagus, which was based without any evidence on the idea of the possibility of physiological reflux. There is no scientific basis to consider the presence of acid in the esophagus with a pH < 4 for 1.5 hours per day (AET > 6%) evidence of GERD, and if AET < 4%, i.e. less than 1 hour per day evidence of functional pathology? [17]. An analysis of the literature shows that pH monitoring does not diagnose GERD in at least 30% of patients, including those who required surgical treatment [7,18,19,20,21,22]. For example, in the article by Salvatore et al. esophagitis was present in 17 of 44 (39%) infants who underwent endoscopy with esophageal biopsy for suspected GERD. 38% of infants with a pathologic pH study had a normal esophageal biopsy and 53% of infants with histologic esophagitis had a normal pH study. Discordance between pH study and biopsies occurred in 14 of 44 (32%) patients" [21]. Since pH monitoring contradicts physiological knowledge and its use does not diagnose GERD in about 30% of patients, this method cannot be used to diagnose GERD and especially for scientific research. Thus, the conclusion that transient lower esophageal sphincter relaxation can be found in healthy individuals is erroneous.

Analysis definitions the norm for belching using pH monitoring and twenty-four-hour impedance-pH monitoring

Nasui et al. retrospectively analyzed reflux monitoring studies from 287 patients (median age: 7.0 years) with a suspicion of GORD. Based on esophageal acid exposure time (AET) patients were divided into 3 groups: (a) physiological AET <4%, (b) borderline AET < 6%, (c) pathological AET > 6%. Two hundred one children (70.0%) had physiological AET, 52 (18.1%) had borderline AET and 34 (11.9%) had pathological AET. Gastric belching was observed in all studies more frequently in patients with borderline and pathological AET (p < 0.001). This was more common in older children. SGB were observed in only 7 (2.4%) children (age range: 8-17years) and all patients had Physiological AET. Only 3 (1%) patients had a pathological number of SGB (>13/24 h) [23].

DeMeester et al. (1974, 1976) using pH monitoring to determine the boundary between the norm and GERD, examined 15 individuals who said they had no gastroesophageal symptoms. As a result of the examination of these individuals, the norm was defined as pH <4 less than 4% of the time from a 24-hour study at 5 cm from the EGJ [24,25]. This boundary was subsequently called the DeMeester score. This study was not scientifically substantiated, since, contrary to existing ideas, it a priori recognized the possibility of a reflux in healthy individuals. It was carried out with methodological violations that are unacceptable for scientific study: the number of "control" individuals was too small; they were not examined by other research methods to exclude GERD. Meanwhile, it is known that a significant number (about 30%) of patients with GER consider themselves healthy [26]. It is currently believed that a patient with a DeMeester score of <4% with typical GERD symptoms suffered from functional disorders. Thus, patients with AET <4% are considered in some cases as controls, i.e., healthy, and in other cases, as suffering from functional disorders. This manipulation of concepts, which is only for advertising diagnostic equipment, contradicts not only the philosophy of science, but also common sense. Patients with symptoms of heartburn, regurgitation and abdominal pain cannot be considered controls, despite AET <4%. Therefore, their belching cannot be considered physiological.

The aim of this study was to determine the physiological causes of belching.

MATERIAL AND METHODS

We used two methods. In the first study, we determined the presence and size of the gastric gas bubble in people of different ages on frontal chest radiographs. In the second study, we determined the presence of belching and its relationship with GERD symptoms using questionnaires.

1) In 175 patients, we measured the width and height of the gastric bubble on chest radiographs. According to age and examination method, the radiographs were divided into 5 groups. The first group included 56 patients aged 1 to 6 years, who underwent a radiograph of the chest for differential diagnosis of the cause of abdominal pain. The second group consisted of 26 patients aged 7–15 years. The third group consisted of 43 patients who were admitted with suspected acute appendicitis, but after examination and observation, acute surgical diseases were excluded. In the admission room, 10 minutes before the chest radiographs, the child was given 50 ml of warm barium suspension to drink [27]. The fourth group included 34 patients aged 16 to 64 years. And in the fifth group there were 16 patients aged 65 years and older [28] (Table 1). On radiographs, we measured the maximum height and width of the gastric gas bubble (GGB). We determined the true parameters by multiplying the measurement result on the radiograph by the projection magnification coefficient. The latter was equal to the ratio of the true height of the vertebra of the D-10 or L-1 for a given age [6] to its image on the radiograph. In most cases, this coefficient was 0.8. Statistical processing was performed using the one-sample t-test (Student). Statistical significance was determined at P < 0.05. Cases without GB were excluded from the statistics.

Table 1. Dimensions of the gas bubble (GB) in patients of different ages (cm)

Subgroups

Number of patients

Width

Height

Without GB

1st

(1-6 years) 56

4.00±0.13 (P 1-2 <0.01)

2.16±0.14 (P1-2 >0.1)

0

2nd

(7-15 years) 26

4.67±0.17

2.50±0.21

0

3rd

(7-14 years) 43

4.69±0.17 (P 2-3 > 0.2)

2.75±0.16 (P 2-3 >0.2)

0

4th

(16-64 years) 34

3.93±0.36 (P 2-4 > 0.1)

1.84±0.19 (P 2-4 > 0.1)

6 (18%)

5th

(> 64 years) 16

3.68±0.47 (P 2-5 <0.02)

1.22±0.1 (P 2-5 < 0.001)

4 (25%)

Total

175

 

 

10

Note: The measurement results are compared (P) with the indicators of the 2nd group

The results of each group are compared with the measurement results in group 2. The table shows that in children over 7 years of age, compared with children under 7 years of age, only the width of the GGB increases significantly, while the increase in the height of the dome was not significant. In patients of group 3, the sizes of the GGB were the same as in patients of group 2. In patients aged 16 to 64 years (group 4), both sizes of the GGB were smaller than in children, but this difference was not significant. Meanwhile, in 18% of patients in this group, the GGB was not determined at all (Figure 4). In patients aged 65 years and older (group 5), a significant decrease in both the width and height of the GGB was found. In addition, the number of patients with no GGB at all increased (25%). These data indicate that all children and adolescents have a GGB, the area of ​​which on radiographs is almost the same. With age, GGB decreases and the number of individuals without GGB gradually increases.

Figure 4. Radiographs with GGB. (a). An 8-month-old patient. (b). An 8-year-old patient. The size of the GGB in both images seems to be the same. However, the true magnitude of the GGB in figure (b) is smaller because the images were taken with different projection magnifications. (c). In the radiograph of a 56-year-old patient with GERD symptoms, the GGB is very small. (d). In the radiograph, the yellow line shows the contraction of the Ochsner sphincter. The image shows that a significant volume of gas is evacuated from the stomach into the jejunum.

2) To find out the prevalence of GERD symptoms and the relationship of symptoms with belching, I distributed a questionnaire among the families I knew. In total, I received 68 completed questionnaires. This method of research gives only approximate contour results, because it is based on subjective assessments. When the answers denied the presence of belching with the severity of GERD symptoms, I had to contact the informants by phone. It turned out that some of them considered belching a bad habit and were embarrassed to report it. Secondly, some informants were accustomed to mild belching and did not pay attention to it, due to which the frequency and number of belching may be less than the actual ones. However, as one of the informants, a father and grandfather, I am convinced that except for the period of physiological regurgitation from 2 weeks to 4-6 months, when the volume of food eaten is greater than the capacity of the stomach [29], most children and adolescents never belch. The results of statistical processing of the questionnaires presented in Table 2.

Table 2. The results of statistical processing of the questionnaires

Age (years)

7-20

21-40

41-60

61-70

71-80

Total

8

22

20

4

14

Without symptoms %

75

36

40

0

0

Without belching %

75

45

40

0

10

Without belching with symptoms %

0

60

12

0

100

The frequency of belching was recorded by three parameters: complete absence (41%), rare (35%), about once a month (15%), daily (9%). The results of the questionnaire show that in the age group under 20, belching was noted in only 25% of cases and in these individuals, belching was combined with GERD symptoms. With age, the frequency of belching progressively increased. It was often, not always, combined with symptoms. In contrast, in the age group over 70, the questionnaires noted the presence of symptoms 100%, but 10% of them did not belch.

Analysis

The definition of the norm for the number of belches as <13 per 24 hours was based on the results of the study by Sifrim et al using pH monitoring and twenty-four-hour impedance-pH monitoring. Firstly, the results of the study of patients with typical GERD symptoms, who had a negative gastroscopy and AET was <4%, were accepted as the norm. Secondly, as was proven above, the Demeester score was developed in contradiction with the physiology of EGJ and with methodological violations. Thus, the standards for examining patients using methods that do not allow diagnosing GERD in at least 30% of patients are erroneous. These authors do not use the achievements of physiology and rely only on methods that do not have diagnostic value. They believe that normally swallowed air comes out of the stomach during belching. From this they conclude that belching within certain limits is a normal phenomenon. The present study proves that in children and young adults belching is observed in 25% of patients with GERD symptoms and is never observed in healthy individuals. If belching is absent in at least one child, the hypothesis that burping is the only way to get rid of swallowed air should be rejected. This means that in healthy people, swallowed air enters the intestines. X-ray studies prove that air from the stomach penetrates the intestine along with liquid and is utilized there (see Figure 4). Peristaltic sounds during auscultation of the abdomen are caused by the mixing of liquid with gas in the small intestine, which irrefutably proves the penetration of swallowed air into the intestine. In the large intestine, the volume of gas progressively decreases along the path from the cecum to the rectum [30].

Belching and regurgitation (rumination syndrome) occur due to the opening of a weakened LES, which cannot withstand the tension due to increased pressure in the stomach after a meal or at any time after a relatively long contraction of the LES due to damage to the postural reflex. The reason for the erroneous idea that periodic relaxation of the LES is possible in healthy individuals is the same as for belching: as a control, patients with GERD with AET<4% were examined. This indicates that transient lower esophageal sphincter relaxation (TLESR) occurs because of damage to the function of the LES by hydrochloric acid and pepsin and cannot occur in healthy individuals. TLESR leads to reflux of gastric contents into the esophagus (liquid and gas), which is always damaged following the LES (Figure 5).

Figure 5. Comparison of radiographic examinations of the esophagus with their image on CT. (a). The patient could eat only liquid food. Belching and vomiting were often observed after meals. He refused to drink milk on the advice of a doctor. Then, immediately after a single intake of a milk drink, severe heartburn occurred, which confirmed lactose intolerance. The length of the LES, from the ampulla to the stomach, is equal to the height of D-10, i.e. about 2 cm, with the minimum normal limit of 3.2 cm. The ampulla is proximally closed by a pathological proximal sphincter (PS). The body of the esophagus from the PS to the aortic arch is in spasm with longitudinal folds and uneven fine-wavy contours. Above the aortic esophageal sphincter (AES), the esophagus dilated. (b). CT of the chest shows thickening of the esophageal wall (white line). (c). A patient with frequent belching and lactose intolerance, which he learned about at the age of 60. The length of the LES 1.4 cm is significantly shorter than the minimum normal limit of 3.2 cm. The esophagus sharply dilated along its entire length. (d). The CT shows a thickened and dense esophageal wall with uneven contours and a deformed perimeter of the ring (arrow). A similar picture observed in all CT sections, indicating fibrous changes in the esophageal wall. In fact, the wide esophagus was a fibrous sac with impaired peristalsis and constant gas throughout the entire length of the esophagus.

DISCUSSION

A literature review by Sawada et al argues that high-resolution impedance manometry and/or 24-h impedance-pH monitoring can offer an objective diagnosis of the disorders of the belching. This is allegedly necessary because their symptoms are like those of GERD, but they have a behavioral nature, caused by disorders of gut-brain interaction. These conditions supposedly need to be distinguished, since behavioral disorders require psychological treatment. This is what the experts who voted in Rome IV decided [1]. Unfortunately, no evidence has been published anywhere to draw such conclusions. Therefore, it is impossible to analyze them. In this article it has been shown that the authors using diagnostic equipment are based on a false idea of the norm. They consider the control group (healthy) to be patients with typical symptoms of GERD, in whom endoscopic examination does not reveal pathology in the esophagus, and pH monitoring recognizes healthy people in whom hydrochloric acid with a pH > 4 is < 4% in the esophagus throughout the day, i.e. about 1 hour per day. As a result of this methodological error, many patients with GERD are considered to suffer from functional disorders. Examining patients who were considered a control, allegedly not with GERD, they established false standards: (1) the possibility of periodic relaxation of the LES in healthy people, (2) the possibility of a hiatal hernia without GERD; (3) the possibility of displacement of the LES into the chest cavity; (4) the possibility of belching in healthy people up to 13 times a day, etc. However, it is known that endoscopic examinations diagnose only complications of GERD: ulcers, stenosis, Barrett's esophagus and tumors. Cases resistant to PPI treatment are common in GERD, which leads to the use of surgical methods in some cases. The use of PPI is not the only and not the most important method of treating GERD. Any drugs that reduce the secretion of hydrochloric acid do not always help to get rid of symptoms. It is impossible to get rid of symptoms unless refuse to eat foods that provoke increased secretion of hydrochloric acid, such as lactose; if do not get rid of the intake of allergens or histamine, with histamine intolerance; if to take a horizontal position without contents in the stomach, etc. [31].

The experts who voted for the Rome IV [1] and Lyon consensus 2.0 [32] claimed that since people swallow air while eating, it should come out during belching, which means that belching is possible in healthy individuals. However, this hypothesis was not tested in healthy individuals. Pouderouxusing et al, using ultrafast computerized tomography, calculated that during swallowing with liquid was ingested approximately 8-32 mL volume of air [33]. Since the volume of the pharynx is always the same, it becomes obvious that the less liquid in the pharynx, the more air in it, for example, when swallowing saliva. In the present study, based on questionnaires, belching was absent in 28 (41%) respondents. Rare belching was observed in 24 (35%) respondents, and several times a month in 10 (15%). Only 6 (9%) respondents belched daily. Given the large volume of swallowed air, it is impossible to explain its removal during rare belching or even several times a month. Although the reported frequency of belching, being a subjective indicator, is probably lower than the actual frequency, the fact that most children and adolescents do not belch at all indicates that the swallowed air enters the intestine, where it is utilized. This is confirmed by the detection of gas on X-rays of the jejunum, as well as by the determination of gases in the exhaled air that has entered there from the intestine.

These data prove that belching is a symptom of GERD, which should be the basis for examination to start treatment to prevent further progression of GERD. Figure 6 shows the scheme of the pathological condition of EGJ in GERD, explaining the occurrence of belching.

Figure 6. (a). Radiograph of the left dome of the diaphragm of a healthy person. (b). A patient with GERD. (c). Scheme of the EGJ with normal LES function (red line is LES length). The angle of His (aH) is acute. Large gas bubble in the stomach. (d). In GERD, the LES is shortened because the intra-abdominal part of the LES (I-a) is not functioning. This leads to an increase in the angle of His and a decrease in the gas bubble of the stomach due to belching during transient relaxation of the weakened part of the LES.

The article by Sawada et al provides explanations that have no evidence, contradict physiology and without references. As an example, I quote an excerpt from the article in full: - "SGB is a behavior where air sacked or swallowed from the mouth comes down into the esophagus, immediately followed by expelling it using abdominal straining. In air sucking type, this air movement starts with the diaphragmatic contraction that creates negative pressure in the esophagus”. (1). The statement that SGB is a behavior contradicts the statements of the same authors that with GB, and SR, which together with SGB is considered a behavioral disorder, antireflux operations are recommended. (2). Air penetration into the esophagus always occurs because of contraction of the pharynx, between the root of the tongue and the UES. This leads to the opening of the UES, and the bolus is pushed into the esophagus. In air sucking type is not described in the literature, and the explanation about the contraction of the diaphragm, which allegedly creates negative pressure in the esophagus, contradicts physiology and common sense. During contraction of the diaphragm, the volume of both lungs, between which the esophagus is located, increases. At the same time, it is known that it is during contraction of the diaphragm that the tone of the LES increases and the crura of the diaphragm contract to prevent reflux during increased pressure in the stomach [30]. However, patients with belching and “air sucking syndrome rumination, often suffer from concomitant epigastric pain or bloating» and therefore strain the abdominal cavity to relieve their condition. Opening of the LES and penetration of gas (belching) and/or liquid (rumination) is evidence of damaged LES function, i.e. GERD. And the behavior of patients is a normal reaction to relieve symptoms, as is taking medications.

The following excerpt shows that diagnostic tests using advertised equipment conflict with objective data. « Excessive SGB and RS can mimic true GERD as patients with the behavioral disorders often complain about predominant reflux symptoms. SGB can cause reflux symptoms by (1) inducing gastroesophageal reflux and/or (2) SGB-induced esophageal distension. The mechanism about the former has not been elucidated yet although excessive SGB sometimes results in pathological esophageal acid exposure”. It follows from this text that (1) excessive SGB and RS not only can mimic true GERD (2) but cause gastroesophageal reflux and/or (3) esophageal distension, (4) which sometimes results in pathological acid exposure time (AET>6%), and sometimes weakly acidic reflux (AET<4%). We again return to the key issue of modern gastroenterology. The authors of the article are forced to invent various assumptions unfounded by physiology to explain the possibility of physiological reflux, physiological belching, physiological diseases, etc. They publish numerous reviews in the public domain in order to advertise pH monitoring and other devices developed based on this method because they and the publishers of their publications are financed by equipment manufacturers. The authors consider it erroneous that: - “It has been increasingly recognized that patients with excessive SGB and/or RS are frequently regarded as having refractory GERD {4, 5}.” This thesis is stated only for the sake of contrast, since neither in these footnotes nor in any of the journals is there a single publication that contradicts the consensus. The publication of such works is suppressed to create an impression of unanimity and prevent the possibility of discussion.

All questions can be answered if we recognize that any recurrent reflux causes damage to the LES and esophagus. From this point of view, belching is a reliable symptom of GERD, since it indicates a weakness of the LES. The so-called supragastric belching is a more severe form of GERD, which occurs when the esophagus is significantly dilated. When the esophagus is an expanded sac with thickened rigid walls, its peristalsis is weak, and it cannot get rid of swallowed air or air that has entered it from the stomach. The patient, experiencing discomfort, increases gastric pressure by tensing the abdominal wall to relieve the symptoms. A weak LES does not respond by increasing tone, as is normal, but relaxes. The additional volume of gas in the esophagus leads to relaxation of the UES, which leads to belching and improves the patient's condition. This behavior is due to GERD, which should be treated as GERD.

CONCLUSION

Analysis of literature and our own research prove that belching occurs because of relaxation of the LES damaged by gastric chyme. Since belching does not occur in healthy individuals, it is a reliable sign of GERD. With significant expansion of the esophagus, when its walls are fibrously changed, weak peristalsis is unable to remove gas from the esophagus. In such cases, gas is constantly in the esophagus and causes unpleasant symptoms. To get rid of them, the patient strains the abdominal wall, which leads to an increase in gastric pressure. This causes relaxation of the LES, because of which gas and / or liquid from the stomach penetrates the esophagus. Additional volume in the esophagus leads to the opening of the UES with the release of gas (belching) or liquid (rumination). This so-called supragastric belching is a result of GERD and indicates a severe degree of damage to the LES with expansion of the esophagus. The absence of belching in healthy individuals indicates that air enters the intestines and is utilized in it.

ACKNOWLEDGEMENTS

None.

CONFLICTS OF INTEREST

The author declares that there are no conflicts of interest.

REFERENCES

  1. Sawada A, Fujiwara Y. (2024). Belching Disorders and Rumination Syndrome: A Literature Review. Digestion.105(1):18-25.
  2. Shafik A, El-Sibai O, Shafik AA, Mostafa R, Shafik I. (2004). Effect of straining on the lower esophageal sphincter: identification of the "straining-esophageal reflex" and its role in gastroesophageal competence mechanism. J Invest Surg. 17(4):191-196.
  3. Shafik A, Shafik AA, El Sibai O, Shafik IA. (2007). The effect of gastric overfilling on the pharyngo-esophageal and lower esophageal sphincter: a possible factor in restricting food intake. Med Sci Monit. 13(10):BR220- BR224.
  4. Franzi SJ, Martin CJ, Cox MR, Dent J. (1990). Response of canine lower esophageal sphincter to gastric distension. Am J Physiol. 259(3 Pt 1):G380-G385.
  5. Attig D, Petermann J, Klöckner H, Rosenbaum KD. (1990). Rechnergestützte Analyse des Druckverhaltens am ösophagogastralen Ubergang während intragastrischer Drucksteigerung [Computer-assisted analysis of the pressure behavior of the esophagogastric junction during increase in intragastric pressure]. Z Exp Chir Transplant Kunstliche Organe. 23(1):40-42.
  6. Levin MD. (2019). Reaction to articles on high resolution manometry, the length of the lower esophageal sphincter and the diagnosis of gastroesophageal reflux disease. Arq Gastroenterol. 56(2):209-210.
  7. Levin MD. (2025). X-Ray Imaging of the Esophagus and Lower Esophageal Sphincter and Its Role in the Diagnosis of Gastroesophageal Reflux Disease. Mathews J Gastroenterol Hepatol. 10(2):31.
  8. Chen MH, Yan K, Wang B. (1994). [Manifestation of abdominal segment of esophagus by body surface ultrasonography and determination of normal values]. Zhonghua Yi Xue Za Zhi. 74(7):410-412.
  9. Chandrasoma P, DeMeester T. (2016). A New Pathologic Assessment of Gastroesophageal Reflux Disease: The Squamo-Oxyntic Gap. Adv Exp Med Biol. 908:41-78.
  10. Levin MD. (2025). Hydrochloric acid hypersecretion is the cause of pathology of the upper digestive tract: Literature analysis. DOI: 10.32388/4QXH2Q.
  11. Levin MD. (2025). Aorto-Esophageal Sphincter and its role in the pathogenesis of the gastroesophageal reflux: cases report and analysis. Gastroenterol Hepatol Open Access. 16(1):1-8.
  12. Levin M. (2025). Functional Heartburn is Gastroesophageal Reflux. Mathews J Gastroenterol Hepatol. 10(1):28
  13. Porter NH. (1962). A physiological study of the pelvic floor in rectal prolapse. Ann R Coll Surg Engl. 31(6):379-404.
  14. Parks AG, Porter NH, Hardcastle J. (1966). The syndrome of the descending perineum. Proc R Soc Med. 59(6):477-482.
  15. Van Koughnett JA, da Silva G. (2013). Anorectal physiology and testing. Gastroenterol Clin North Am. 42(4):713-728.
  16. Ham AW, Cormac DH. (1979). Histology. English Edition. JB. Lippincott Company.
  17. Gyawali CP, Yadlapati R, Fass R, Katzka D, Pandolfino J, Savarino E, et al. (2024). Updates to the modern diagnosis of GERD: Lyon consensus 2.0. Gut. 73(2):361-371.
  18. Angulo JM, Tovar JA, Eizaguirre I. (1990). Los falsos negativos de la pH-metría. Estudio retrospectivo de doce casos operados [False negatives in pH measurement. A retrospective study of 12 surgical cases]. Cir Pediatr. 3(1):3-7.
  19. Tovar JA, Angulo JA, Gorostiaga L, Arana J. (1991). Surgery for gastroesophageal reflux in children with normal pH studies. J Pediatr Surg. 26(5):541-545.
  20. Jones R, Galmiche JP. (2005). Review: what do we mean by GERD?--definition and diagnosis. Aliment Pharmacol Ther. 22(Suppl 1):2-10.
  21. Salvatore S, Hauser B, Vandemaele K, Novario R, Vandenplas Y. (2005). Gastroesophageal reflux disease in infants: how much is predictable with questionnaires, pH-metry, endoscopy and histology? J Pediatr Gastroenterol Nutr. 40(2):210-215.
  22. Levin MD. (2024). Esophageal achalasia or gastroesophageal reflux? Pediatric cases analysis. Gastroenterol Hepatol Open Access. 15(6):174-184.
  23. Masui D, Nikaki K, Sawada A. (2022). Belching in children: Prevalence and association with gastroesophageal reflux disease. Neurogastroenterol Motil. 34(1):e14194.
  24. Johnson LF, Demeester TR. (1974). Twenty-four-hour pH monitoring of the distal esophagus. A quantitative measure of gastroesophageal reflux. Am J Gastroenterol. 62(4):325-332.
  25. Demeester TR, Johnson LF, Joseph GJ, Toscano MS, Hall AW, Skinner DB. (1976). Patterns of gastroesophageal reflux in health and disease. Ann Surg. 184(4):459-470.
  26. Yoo SS, Lee WH, Ha J, Choi SP, Kim HJ, Kim TH, et al. (2007). The prevalence of esophageal disorders in the subjects examined for health screening. Korean J Gastroenterol. 50(5):306-312.
  27. Levin MD, Khomich VM, Nalibotskiĭ BV. (1989). O vozmozhnosti rentgenodiagnostiki ostrogo appenditsita u deteĭ [The possibility of x-ray diagnosis of acute appendicitis in children]. Klin Khir (1962). (6):38-40.
  28. Levin MD, Jin IG. (2018). Screening of gastroesophageal reflux disease based on the size of the gastric gas bubble. Eksp Klin Gastroenterol. 152(4):23-29.
  29. Levin MD. (2025). Pathogenesis of Infantile Colic. Hypothesis. Mathews J Gastroenterol Hepatol. 10(1):29.
  30. Levin MD. (2024). Gastrointestinal motility and law of the intestine. Gastroenterology & Hepatology: Open access. 15(5):163-172.
  31. Levin MD. (2025). Prevention and Treatment of Esophageal Reflux Disease: Literature Analysis. Mathews J Gastroenterol Hepatol. 10(2):33.
  32. Yadlapati R, Tye M, Roman S, Kahrilas PJ, Ritter K, Pandolfino JE. (2018). Postprandial High-Resolution Impedance Manometry Identifies Mechanisms of Nonresponse to Proton Pump Inhibitors. Clin Gastroenterol Hepatol. 16(2):211-218.e1.
  33. Pouderoux P, Ergun GA, Lin S, Kahrilas PJ. (1996). Esophageal bolus transit imaged by ultrafast computerized tomography. Gastroenterology. 110(5):1422-1428.

Creative Commons License

© 2015 Mathews Open Access Journals. All Rights Reserved.

Open Access by Mathews Open Access Journals is licensed under a
Creative Commons Attribution 4.0 International License.
Based On a Work at Mathewsopenaccess.com