Mathews Journal of Gynecology & Obstetrics

2572-6501

Previous Issues Volume 8, Issue 2 - 2024

Sister Mary Joseph Nodule Found As a Cutaneous Manifestation of Metastatic Ovarian Carcinoma: A Case Report

Chigozie C Okongwu1,*, Adeyemi A Adefidipe1, Olaejirinde O Olaofe2, Badru D Muhydeen1, James O Oladele1

1Department of Morbid Anatomy and Forensic Medicine, Obafemi Awolowo University Teaching Hospitals Complex, Nigeria

2Department of Morbid Anatomy and Forensic Medicine, Faculty of Basic Medical Sciences, College of Health Sciences, Obafemi Awolowo University, Nigeria

*Corresponding author: Chigozie C Okongwu, Department of Morbid Anatomy and Forensic Medicine, Obafemi Awolowo University Teaching Hospitals Complex, Ile-Ife, Osun State, Nigeria, Phone: 08065775396, E-mails: [email protected]; [email protected]

Received Date: April 13, 2024

Published Date: May 22, 2024

Citation: Okongwu CC, et al. (2024). Sister Mary Joseph Nodule Found As a Cutaneous Manifestation of Metastatic Ovarian Carcinoma: A Case Report. Mathews J Gynecol Obstet. 8(2):36.

Copyrights: Okongwu CC, et al. © (2024).

ABSTRACT

Background: Sister Mary Joseph’s nodule is a medical eponym used for a rare umbilical metastatic lesion presenting as a palpable nodule protruding into the umbilicus resulting from an advanced intra-abdominal and or pelvic malignancy. It is an uncommon but yet significant finding. Case Presentation: We report a 67-year-old woman with imaging findings of a metastatic right ovarian tumor with Sister Mary Joseph’s nodule. A total abdominal hysterectomy with bilateral salpingo-oophorectomy, umbilical nodule, and infracolic omentum resections was performed and a histopathology diagnosis of bilateral low-grade ovarian serous papillary cystadenocarcinoma with metastases to the umbilicus and omentum was made. Conclusion: Sister Mary Joseph’s nodule is a rare and often a poor prognostic sign of a disseminated intra-abdominal and or pelvic malignancy. There is a need to consider this lesion as a differential diagnosis of an advanced intra-abdominal and or pelvic malignancy.

Keywords: Papillary Cystadenocarcinoma, Salpingo-Oophorectomy, Infracolic Omentectomy, Cholangiocarcinoma.

INTRODUCTION

Sister Mary Joseph nodules (SMJN) are rare umbilical malignant metastatic nodules resulting from an advanced intra-abdominal malignancy usually gastrointestinal (50%) and or pelvic malignancy (25%) and associated with a poor prognosis [1]. This metastatic disease protruding through the umbilicus was initially studied by Sister Mary Joseph Dempsey (1856-1939), a surgical assistant to Dr. William J. Mayo at St. Mary’s Hospital (now Mayo Clinics). She observed the association of umbilical mass lesions noticed during pre-surgical skin preparation and disseminated intra-abdominal malignancies [2].

This umbilical lesion is usually not greater than 5cm in diameter, a firm to hard nodule. There may be associated fissuring, necrosis, or ulceration [2]. It is often the first clinical manifestation of underlying gastrointestinal and gynecological malignancies or unknown primary tumors, and rarely bladder or respiratory malignancies, associated with poor prognosis and indicating a disseminated lesion or an early sign of tumor recurrence [1-3]. Here, we present a 67-year-old postmenopausal female with a periumbilical nodule, clinical diagnosis of bilateral low-grade serous papillary cystadenocarcinoma, treatment, and follow-up.

CASE PRESENTATION

We present the case of a 67-year-old postmenopausal woman who was rushed to the Accident and Emergency unit on account of a cough and difficulty with breathing both of four days duration. She had a past medical history of chronic hypertension. On examination, she was dyspneic, with no abdominal discomfort. She had reduced chest expansion, reduced tactile fremitus, and dull percussion sound on the right middle and lower lung zones. The initial clinical diagnosis was that of right pleural effusion with suspected left ventricular failure. This was subsequently changed to Sister Mary Joseph’s nodule with an underlying complex right adnexal mass (Ovarian) with metastases following an abdominopelvic ultrasound scan and computerized tomography scan report. Urgent outpatient investigations were requested. Blood tests demonstrated normocytic anaemia; tumor markers including Carbohydrate antigen-125 and Alpha-fetoprotein was markedly elevated. The chest radiograph revealed a complete right-sided pleural effusion. An abdominopelvic ultrasound scan reported a suspicious complex right adnexal mass (Ovarian), nodular lesion in the umbilicus such as (SMJN), and right adnexal mass metastases. She had a normal renal and liver function test. Staging computerized tomography scans of her abdomen and pelvic region also were in keeping with a metastatic right ovarian tumor, FIGO stage IVB with SMJN (figure 1). She was subsequently stabilized at the emergency unit before referral to the gynecologist.

Figure 1. CT scan report and the gross specimen received by the histopathology laboratory.

She had a staging laparotomy with total abdominal hysterectomy with bilateral salpingo-oophorectomy, infracolic omentectomy, and excision of the umbilical nodule on the fifth day of admission. The tissue specimen sent for histology reported ovarian tissue with a distorted architecture due to proliferating malignant epithelial cells forming glandular to cystic structures as well as papillary structures and compact nests. The individual malignant cells are pleomorphic with round to oval nuclei and moderate eosinophilic cytoplasm. There are extensive areas of necrosis. The histology diagnosis was that of a bilateral low-grade serous papillary cystadenocarcinoma with metastases to the umbilicus and omentum. Immunohistochemistry for p53 protein was negative (Figure 2-5).

Figure 2. Gross specimen of the umbilical nodule (black arrow), uterus, ovarian mass and fallopian tube.

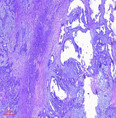
Figure 3. Ovarian tissue with low-grade serous papillary cystadenocarcinoma (H&E, x20).

Figure 4. Umbilical skin tissue showing the epidermis (short blue arrow) and tumour metastases in the papillary dermis (long black arrow) (H&E, x20).

Figure 5. p53 IHC showing negative staining (H&E, x20).

Her postoperative recovery was uneventful and she was discharged five days after her surgery. She visited the clinic for a follow-up 10 days later and was worked up for adjuvant chemotherapy. She died at home few days after her last clinic visit following a protracted diarrhea that was poorly managed.

DISCUSSION

Adenocarcinoma is the most commonly diagnosed histologic type of umbilical skin metastases making up to 75% of cases, while squamous cell carcinoma or undifferentiated carcinoma are rare histologic types [4]. A case series involving 34 patients in a university hospital in Tanzania reported the stomach (41.1%) as the most common primary location and that adenocarcinoma (88.2%) was the most predominant histological type reported [5]. Another study involving eight patients reported two patients each for gastric adenocarcinoma and ovarian adenocarcinoma while pancreatic carcinoma, colonic adenocarcinoma, gallbladder adenocarcinoma, and cholangiocarcinoma had one patient each [6].

The aetiology of SMJN remains unclear. However, the umbilicus has been proposed as a major site of tumor metastases due to the rich vascularization, connections to embryological remnants, and nearness to the peritoneum [4]. The suggested hypothesis proposed to explain the underlying pathophysiology of this lesion includes the direct tumor extension to the umbilicus, lymphatic, or haematogenous spread [7].

The umbilical region is richly vascularized, receiving supply from the inferior epigastric artery, the iliac circumflex artery, and the superior epigastric artery. Venous drainage is majorly through the internal mammary veins to the axillary vein, and also from the inferior epigastric vein to the femoral veins. The lymphatic network involving the para-aortic, internal mammary and external iliac nodes and the superficial networks of axillary and inguinal nodes also follow the venous system [4].

Also, the contiguous spread is possible because of the near connection to the anterior peritoneal surface. Only the fascia transversalis separates the umbilicus from the peritoneum indicating a complete lack of a muscular layer [4].

Therefore, in considering the differential diagnoses of an umbilical nodule such as umbilical hernia, umbilical endometriosis, keloid, pyoderma gangrenosum, and omphalitis. SMJN should also be considered as it is an important clinical sign of an advanced intra-abdominal malignancy with widespread dissemination and poor clinical outcomes [7]. Furthermore, the umbilicus represent a relatively weak point in the anterior abdominal wall, that is prone to contiguous spread of most intraabdominal malignancy resulting in SMJN [2,8]. This clinical sign of SMJN stresses the importance of careful physical examination of the abdomen for every patient.

In our case study, she presented with cough and difficulty in breathing and was initially worked up as a case of right pleural effusion with suspected left ventricular failure. This case study, however, underlines the importance of recognizing SMJN as a sign of an advanced disseminated disease emanating from an intra-abdominal or pelvic malignancy such as ovarian malignancies.

CONCLUSION

SMJN is a rare and often a poor prognostic sign of a disseminated intra-abdominal and or pelvic malignancy, making its recognition vital to the clinician because it may be the first presenting signs in a patient. Our case outlines the importance of careful clinical examination of the umbilicus in cases of suspected intra-abdominal or pelvic malignancies. Threfore, all umbilical lesions should be biospsied and sent for histopathologic diagnosis so as to determine the type of lesion and for instituting appropriate treatment for the primary lesion.

ETHICAL STATEMENT

An informed consent was collected from the patient according to the guidelines of Ethical and Research Committee of Obafemi Awolowo University Teaching Hospitals Complex. A signed consent form is available on request.

CONFLICT OF INTEREST

We declare no conflict of interest.

AVAILABILITY OF DATA AND MATERIALS

The tissue blocks are available for future use.

FUNDING

The work was funded by the authors.

REFERENCES

  1. Petch S, Sobota A, Abu Saadeh F. (2019). Sister Mary Joseph nodule: an unusual site for endometrioid cancer metastasis. BMJ Case Rep. 12(5):e229187.
  2. Codipilly D, Jansson-Knodell C, Nagpal SJS, Sweetser S. (2017). Sister Mary Joseph nodule: an update on characteristics and outcomes. Annals of Oncology. 28: X181-X182.
  3. Dar IH, Kamili MA, Dar SH, Kuchaai FA. (2009). Sister Mary Joseph nodule-a case report with review of literature. JRMS. 14(6):385-387.
  4. Leyrat B, Bernadach M, Ginzac A, Lusho S, Durando X. (2021). Sister Mary Joseph nodules: a case report about a rare location of skin metastasis. Case Rep Oncol. 14(1):664-670.
  5. Chalya PL, Mabula JB, Rambau PF, Mchembe MD. (2013). Sister Mary Joseph’s nodule at a university teaching hospital in northwestern Tanzania: a retrospective review of 34 cases. World J Surg Onc. 11(1):151.
  6. Al-Mashat F, Sibiany A. (2010). Sister Mary Joseph′s nodule of the umbilicus: is it always of gastric origin? a review of eight cases at different sites of origin. Indian J Cancer. 47(1):65.
  7. Tso S, Brockley J, Recica H, Ilchyshyn A. (2013). Sister Mary Joseph’s nodule: an unusual but important physical finding characteristic of widespread internal malignancy. Br J Gen Pract. 63(615):551-552.
  8. Hegazy AA. (2016). Anatomy and embryology of umbilicus in newborns: a review and clinical correlations. Front Med. 10(3):271-277.

Creative Commons License

© 2015 Mathews Open Access Journals. All Rights Reserved.

Open Access by Mathews Open Access Journals is licensed under a
Creative Commons Attribution 4.0 International License.
Based On a Work at Mathewsopenaccess.com