Orthopedics Research Journal

2474-6959

Previous Issues Volume 1, Issue 2 - 2016

Case Report Abstract PDF  

Humeral Intra-Osseous Lipoma with Hemorrhage-A Case Report

Khaled Aly Matrawy1

1Department of radiodiagnosis, Medical Research Institute, Alexandria University, Egypt.

Corresponding Author: Department of Radiodiagnosis, Medical Research Institute, Alexandria University, Egypt,  Tel: +201223377159; E-Mail[email protected]

Received Date: 17 Jan 2016    Accepted Date: 14 Mar 2016    Published Date: 20 May 2016

Copyright © 2016 Matrawy KA

Citation: Matrawy KA. (2016). Humeral Intra-Osseous Lipoma with Hemorrhage-A Case Report. Mathews J Orthop. 1 (1) 007.

ABSTRACT

Intraosseous lipoma has a 1% incidence among the primary tumors of the bone, and it frequently occurs in the calcaneous. As it is rare, it may be mistaken for nonossifying fibroma, aneurysmal bone cyst, simple bone cyst, bone infarct and chondroid tumors.

Intraosseous lipomas are usually followed up conservatively due to their spontaneous involution. However, surgery is required in the presence of fracture risk, malignant transformation potential and/or extensive pain. Herein we report a case with intraosseous lipoma involving the proximal left humerus, causing cortical expansion.

This presentation is unusual for this type of tumor both in terms of localization and radiology.

Conventional radiography was not successful in the initial diagnosis of the condition. Advanced modalities including CT and MRI proved to have a pivotal role in diagnosis of the patient.

KEYWORDS

Intra-osseous Lipoma; Hemorrhage; Humerus; MRI, CT Scan.

INTRODUCTION

The intraosseous lipoma is the most common lipogenous le - sion of bone. Intraosseous lipoma is found most frequently in the calcaneus and intertrochanteric region of the proximal fe - mur. The symptoms may result from remodeling of bone due to expansion, or due to intralesional ischemia, noted to be a common consequence of a longstanding calcaneal intraosse - ous lipoma [1-4].

Intraosseous lipoma is an uncommon benign bone tumor which, as it slowly expands and remodels adjacent osseous structures, acquires a typical appearance that should be read - ily diagnostic on plain radiographs and MRI. Intraosseous lipomas may present with bone pain up to 66% of the time from chronic expansion, or with acute symptoms related to pathologic (insufficiency) fracture [1,3]. Although there ex - ists a differential diagnosis, including bone infarct, unicameral bone cyst, aneursymal bone cyst, chondromyxoid fibroma, osteoblastoma and giant cell tumor, the presence of patently obvious fat signal intensity on T1-weighted MR images should allow a near 100% sensitivity and specificity in the diagnosis of calcaneal intraosseous lipoma [1,4]

CASE REPORT

A 21-year-old man presented with a 3-months history of gradually increasing left shoulder and arm pain with vague history of old trauma. The pain increased with movements, lifting any objects and reduced with rest. On clinical examina - tion revealed tenderness at the upper left arm; still no definite swelling identified.

  • Conventional radiographs of the left humerus showed a sharply defined lytic lesion at the postero-lateral aspect of the left upper humeral shaft, surrounded by a thick sclerotic rim, without a periosteal reaction.
  • CT detected a well-marginated, low-density lesion (-70 HU) and a central area of soft-tissue density (35 HU) with periph - erally located calcifications in addition to mild endosteal scal - loping.
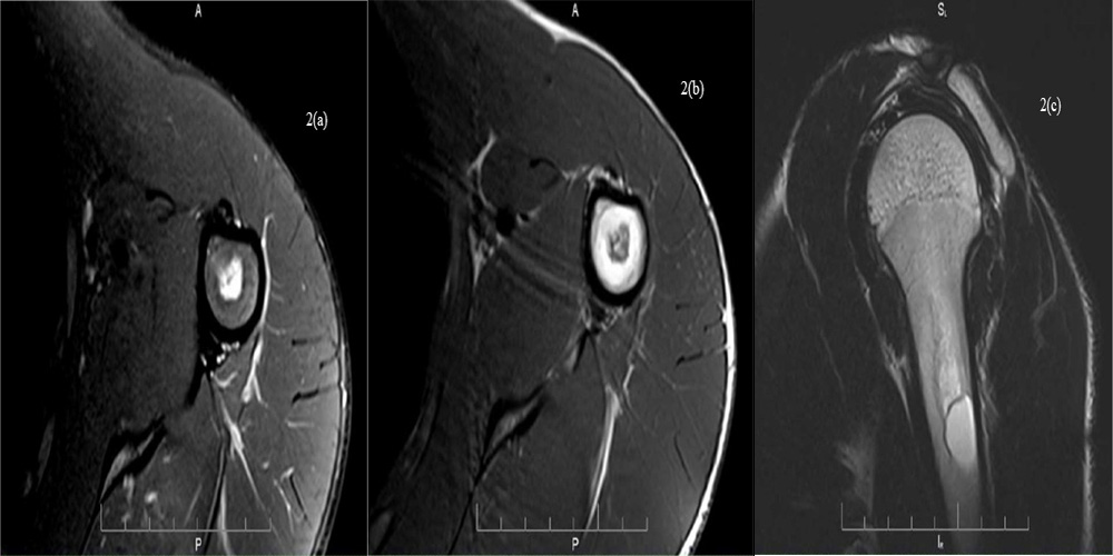
  • MR images of the left humerus show central mass without interruption of the cortex. On T1 it shows central zone of in - termediate signal with peripheral hyperintensity, on T2 the central zone shows mixed high and low signal with peripheral hyperintensity and PD fat suppression sequences the periph - eral area shows total signal cancellation. (Figure 1 and 2).

The MRI findings indicated the presence of hemorrhage in the intraosseous fatty tumor.

Figure 1: Conventional radiograph of the left humerus showed a sharply defined lytic lesion at the postero-lateral aspect of the left upper humeral shaft, surrounded by a thick sclerotic rim, without a periosteal reaction.

Figures 2 (a-c): MR images of the left humerus shows central mass with - out interruption of the cortex. On axial T1 it shows central zone of inter - mediate signal with peripheral hyperintensity, on sagittal T2 the central zone shows mixed high and low signal with peripheral hyperintensity and on axial PD fat suppression sequences the peripheral area shows total signal cancellation.

DISCUSSION

Intraosseous lipomas constitute very rare bone tumors. Intraosseous lipomas are found only slightly more often in men. They may develop at all ages, although they are usually diag - nosed around the age of 40. 5 Most of the cases presented in the literature (about 70%) were associated with clinical symp - toms, usually pain [5]

The lesions tend to locate within the lower limb (71%), usually within the calcaneus (about 30% of cases). Other frequent locations include: intertrochanteric femur, as well as femur and tibia in the region of the knee joint [5]. A less frequent location is the upper limb (7%) and the axial skeleton (cranium - 4%, mandible - 3%, spine - 4%, pelvis - 5%) [5-9].

Radiographic picture of intraosseous lipomas is usually uncharacteristic and requires differentiation with other lesions, including non-ossifying fibroma, fibrous dysplasia, solitary cyst, giant-cell bone tumor, bone infarct and cartilaginous tumors [5].

Intraosseous lipomas usually present as cystic lesions with an increased radiolucency, surrounded by a sclerotic rim [5,10,11].

Computed tomography (CT) and magnetic resonance imaging (MRI) allow for a more accurate evaluation of lesion morphology [12-17]. Finding that the lesion is composed mostly of adipose tissue is actually diagnostic. In CT, adipose tissue has a low attenuation coefficient, ranging from -110 to -40 HU. In fast spin-echo sequences of an MRI, adipose tissue signal is high both in T1- and T2-weighted images, and becomes extinguished in fat-suppression sequences. Calcifications are visible in CT as hyperdense areas, while in MRI as areas of low signal intensity. Fluid-filled spaces found in about 67% of lesions show a low-to-medium signal intensity in T1-weighted images, and very high signal intensity in T2-weighted images [5]. Figure 3.

Figures 3 (a-c): CT (axial and sagittal scans) detected a well-marginated, low density lesion (-110 HU) and a central area of soft-tissue density (35 HU) with peripherally located scanty calcifications in addition to mild endosteal scalloping.

It should also be mentioned, that some authors do not consider intraosseous lipomas true bone tumors [18]. One of the arguments is that these lesions are usually found within areas with physiologically lower number of trabeculae and a higher yellow bone marrow content, such as the trochanteric region of the femur or the anterior part of calcaneus. In the heel bone, intraosseous lipomas are almost exclusively found within a so-called Ward's triangle, between the load-bearing trabeculae [19,20].

Campbell et al. suggested that in some cases, resorption of the trabeculae within an unloaded area may occur together with a peripheral trabecular hypertrophy, producing an image of a seemingly delineated focal lesion. (5) Solitary cysts and intraosseous lipomas found in the same location in the calcaneus led some authors to a conclusion, that these lesions may present a continuum of one disease process. It is also believed that lipomas may constitute the last phase of involution of other focal lesions of bones, a bone infarct in particular [21,22].

CONCLUSION

Intraosseous lipomas constitute very rare bone tumors. Conventional radiography may prove unreliable in establishing the diagnosis, as in our patient. Advanced imaging studies including MRI and CT scan appear to be both reliable in diagnosis and valuable in the staging and further management of intraosseous lipomas and to depict hemorrhage within.

CONFLICT OF INTEREST

The authors declare that they have no conflict of interest. Grant Support: None.

REFERENCES

  1. Mark D, Murphey, John F, Carroll, et al. (2004). From the Archives of the AFIP: Benign Musculoskeletal Lipomatous Lesions. RadioGraphics. 24(5), 1433-1466.
  2. Milgram JW. (1988). Intraosseous lipomas: a clinicopathologic study of 66 cases. Clin Orthop. 231, 277-302.
  3. . Milgram JW. (1988). Intraosseous lipomas: radiologic and pathologic manifestations. Radiology. 167(1), 155-160.
  4. Resnick D. (1995). Tumor and tumor-like diseases. In: Resnick D, eds. Diagnosis of bone and joint disorders. 4th ed. Philadelphia, Pa: Saunders. 3745-4128.
  5. Campbell RSD, Grainger AJ, Mangham DC, Beggs I, et al. (2003). Intraosseus lipoma: report of 35 new cases and a review of the literature. Skeletal Radiol. 32(4), 209-222.
  6. Chow LT and Lee KC. (1992). Intraosseous lipoma. A Clinicopathologic study of nine cases. Am J Surg Pathol. 16(4), 401-410.
  7. Heir GM and Geron PR. (1983). Mandibular intraosseous lipoma related to trigeminal neuropathy. Clin Prev Dent. 5(1), 13-15.
  8. Miller WB, Ausich JE and McDaniel RK. (1982). Mandibular intraosseous lipoma. J Oral Maxillofac Surg. 40, 594-596.
  9. Pande KC, Ceccherini AF, Webb JK, Preston BJ, et al. (1998). Intraosseous lipomata of adjacent vertebral bodies. Eur Spine J. 7, 344-347.
  10. Greenspan A, Jundt G and Remagen W. (2008). Diagnostyka roznicowa w onkologii ortopedycznej. Medipage. 438-442.
  11. Barcelo M, Pathria MN and Abdul-Karim FW. (1992). Intraosseous lipoma. A clinicopathologic study of four cases. Arch Pathol Lab Med. 116(9), 947-950.
  12. Reig-Boix V, Guinot-Tormo J, Risent-Martinez F, Aparisi-Rodriguez F, et al. (1987). Computed tomography of intraosseous lipoma of os calcis. Clin Orthop. 221, 286-291.
  13. Ketyer S, Brownstein S and Cholankeril J. (1983). CT diagnosis of intraosseous lipoma of the calcaneus. J Comput Assist Tomogr. 7, 546-547.
  14. Ramos A, Castello J, Sartoris DJ, Greenway GD, et al. (1985). Osseus lipoma: CT appearance. Radiology. 157(3), 615-619.
  15. Richardson AA, Erdmann BB, Beier-Hanratty S, Lautz D, et al. (1995). Magnetic resonance imagery of a calcaneal lipoma. J Am Podiatr Med Assoc. 85(9), 493-496.
  16. Blacksin MF, Ende N and Benevenia J. (1995). Magnetic resonance imaging of intraosseous lipomas: a radiologicpathologic correlation. Skeletal Radiol. 24(1), 37-41.
  17. Dooms GC, Hricak H, Sollitto RA, Higgins CB, et al. (1985). Lipomatous tumors and tumors with fatty component: MR imaging potential and comparison of MR with CT results. Radiology. 157(2), 479-483.
  18. Remagen W, Lamperth BE and Jundt G. (1994). Das sogennante "osteolytische" Dreick des Calcaneus. Radiologische und pathoanatomische Befunde. Osteologie. 3, 275-283.
  19. Appenzeller J and Weitzner S. (1974). Intraosseous lipoma of os calcis. Case report and review of literature of intraosseous lipoma of extremities. Clin Orthop. 101(101), 171-175.
  20. Jensen NC, Madsen LP and Linde F. (1991). Topographical distribution of trabecular bone strength in the human os calcanei. J Biomech. 24(1), 49-55.
  21. Abdelwahab IF, Lewis MM, Klein MJ, Barbera C, et al. (1989). Case report 515. Simple solitary bone cysts of the calcaneus. Skeletal Radio 17(8), 607-610.
  22. Lagier R. (1980). Case report 128: lipoma of the calcaneus with bone infarct. Skeletal Radiol. 5(4), 267-269.

Creative Commons License

© 2015 Mathews Open Access Journals. All Rights Reserved.

Open Access by Mathews Open Access Journals is licensed under a
Creative Commons Attribution 4.0 International License.
Based On a Work at Mathewsopenaccess.com