Arpit Sikri1,*, Jyotsana Sikri2
1Department of Prosthodontics, Crown & Bridge and Oral Implantology, Bhojia Dental College & Hospital, Budh (Baddi), India
2Department of Conservative Dentistry & Endodontics, Bhojia Dental College & Hospital, Budh (Baddi), India
*Corresponding author: Dr. Arpit Sikri, Professor & Post Graduate Teacher, Department of Prosthodontics, Crown & Bridge and Oral Implantology, Bhojia Dental College & Hospital, Budh (Baddi), Teh. Baddi, Distt. Solan, Himachal Pradesh, India, Phone: +91-7011836989, E-mail: [email protected]
Received Date: January 21, 2026
Published Date: March 17, 2026
Citation: Sikri A, et al. (2026). From Misplaced to Mastered: Prosthodontic Management of Unfavourably Positioned Implants from Anterior Esthetics to Posterior Function: Mini Review. Mathews J Dentistry. 10(1):62.
Copyrights: Sikri A, et al. © (2026).
ABSTRACT
Malpositioned dental implants present significant restorative challenges that compromise esthetics, function, and long-term prognosis. With the increasing use of implant therapy, such complications are more frequently encountered in clinical practice. Proper three-dimensional implant placement remains the gold standard; however, when surgical correction is not viable or acceptable to the patient, prosthodontic management becomes critical. This narrative review discusses multiple prosthetic strategies to manage unfavourably positioned implants, including customized and pre-angled abutments, angulated screw channels, cross-pin prostheses, implant-supported removable options, and digital workflows. Advantages, limitations, and clinical considerations with respect to anterior and posterior regions are examined. The review highlights that comprehensive prosthetic planning can salvage compromised implant situations but may sometimes require surgical intervention when prosthetic methods are insufficient.
Keywords: Angulated Screw Channels, Customized Abutments, Esthetic Complications, Implant-Supported Prostheses, Malpositioned Implants, Prosthodontic Management.
INTRODUCTION
Ideal three-dimensional implant placement is fundamental for achieving predictable esthetic and functional outcomes. Despite advances in digital planning and guided surgery, malpositioned dental implants remain a clinically significant complication. The reported incidence of implant malposition varies between 5% and 15%, depending on operator experience, surgical protocol, and use of guided systems [1]. Studies have demonstrated that up to 10% of implants placed freehand exhibit prosthetically unfavorable angulation or position requiring restorative compensation [2,3].
Incorrect implant positioning may manifest as buccal or palatal displacement, excessive angulation (>15–20 degrees from prosthetic axis), vertical misplacement, or inadequate restorative space [4]. These errors are more frequently reported in the anterior maxilla due to esthetic demands and thin labial bone morphology [5].
Common etiological factors include inadequate prosthetically driven planning, improper use or absence of surgical guides, limited mouth opening or difficulty in posterior access, poor bone availability or anatomical constraints, operator inexperience, deviation during freehand drilling, and inaccurate interpretation of CBCT images [6].
When surgical correction is contraindicated due to patient preference, cost, systemic health, or anatomical risk, prosthodontic intervention becomes the primary salvage strategy.
This mini review critically evaluates current prosthetic solutions for malpositioned implants, discusses biomechanical and esthetic implications, and proposes a structured clinical decision-making approach.
METHODOLOGY
A literature search was conducted using PubMed, Scopus, and Google Scholar databases for articles published between 2000 and 2026, with emphasis on the last five years. Keywords included “malpositioned implants,” “angulated abutments,” “angulated screw channel,” “implant prosthetic complications,” and “custom abutments.”
Clinical studies, systematic reviews, biomechanical analyses, and case reports focusing on prosthetic management were included. Surgical-only correction papers were excluded unless directly relevant to prosthetic limitations.
A total of 78 articles were screened, and 25 relevant publications were selected for qualitative synthesis.
DISCUSSION
Deviation from ideal implant position may occur during treatment planning or surgical execution. Literature reports suggest that freehand implant placement may result in mean angular deviations of 7–15°, with horizontal deviation ranging from 1.2–2.5 mm [7,8]. Even guided surgery systems demonstrate deviation up to 1.5 mm at the coronal level [9].
The most common causes include prosthetically unguided surgical planning, failure to use diagnostic wax-ups or digital smile design, limited interarch space, poor visualization in posterior regions, inaccurate guide stabilization, bone resorption following extraction, and misjudgment of soft tissue thickness [10-16].
Anterior zone errors are frequently esthetic in nature, whereas posterior errors tend to be functional or biomechanical. These findings highlight the continued relevance of prosthetic compensation strategies.
Prosthetic solutions for malpositioned implants aim to correct implant trajectory, manage unfavorable emergence profiles, and achieve esthetic and functional integration with the dentition or opposing arch. The choice of restoration is influenced by implant tilt, location (anterior versus posterior), available restorative space, occlusal scheme, and patient expectations [17].
Angulated and Pre-Fabricated Abutments
Angulated abutments are prefabricated components designed to redirect the restorative axis when the implant placement deviates from ideal. These abutments can sometimes correct axial discrepancies up to 25°–30°, allowing the screw access channel to be repositioned toward a more favorable location (e.g., lingual or occlusal surface) rather than through an esthetic surface. This method is especially relevant in both anterior and posterior cases where direct implant correction is limited [18]. Angulated abutments beyond 25–30° may increase lateral forces and screw loosening risk.
Custom Abutments
Customized abutments offer precise correction for malpositioned implants, tailoring emergence profile, angulation, and soft tissue support. Case reports demonstrate functional and esthetic success using custom cast or CAD/CAM abutments even when implants exhibit significant facial inclination or malangulation. These abutments can be designed to accommodate exaggerated angulation and optimize prosthetic contours without compromising soft tissue health [19].
Digital Custom Abutments integrating intraoral scanning and CAD/CAM workflows allow for exceptional precision in abutment fabrication, enhancing restoration predictability in both anterior and posterior scenarios [20].
Angulated Screw Channels (ASC)
Angulated Screw Channel technology permits the modification of screw access pathways within the prosthesis, allowing clinicians to redirect screw channels toward non-esthetic surfaces while preserving retrievability. This approach is useful when implant angulation prevents a straight screw path but requires careful consideration of restorative material thickness and driver compatibility. ASC systems show improved retrievability but require ≥1.5 mm restorative material thickness [21].
Modified Prosthesis Designs
Cross-pin screw-retained prostheses involve additional transverse screws to secure crowns to abutments, facilitating retrievability and compensating for unfavorable implant angulation. However, they introduce technical complexity and may affect cost and fabrication demands [22].
Implant-supported removable prostheses can be advantageous when multiple implants are malpositioned or when fixed solutions are impractical. These removable designs use attachments to enhance retention and stability while accommodating angulated implant positions [23].
Posterior Implant Considerations
In the posterior region, limited access and occlusal forces may dictate specific abutment choices. Screw-retained options provide retrievability, while angled or custom abutments facilitate correct emergence profiles. Cemented restorations may offer esthetic advantages but pose risks around retrievability and cement remnants peri-implant tissues. Tools such as pre-angled copings and double frameworks allow axis correction in challenging posterior implant positions. Cement-retained restorations demonstrate higher peri-implantitis risk (up to 2–3 times higher in some studies due to residual cement) [24].
When Prosthetic Approaches Are Not Sufficient
Severe malpositioning may exceed prosthetic correction capabilities, especially in the anterior esthetic zone where gingival architecture and smile line visibility are significant. In such cases, surgical options (segmental osteotomy, implant removal, or re-placement) may be required to reposition implants to an acceptable prosthetic platform [25].
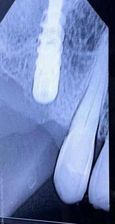
The various prosthetic treatment options for malpositioned implants are outlined in Table 1. Malpositioned implants may result from multiple surgical and prosthetic errors; Figures 1–3 highlight the various positional errors encountered in dental implant placement.
Table 1. Prosthetic Options for Malpositioned Implants
|
Prosthetic Option |
Correction Range |
Advantages |
Limitations |
Ideal Indication |
|
Prefabricated Angled Abutment |
15°–30° |
Simple, cost-effective |
Limited correction |
Mild angulation |
|
Custom CAD/CAM Abutment |
>30° |
Precise emergence profile |
Cost, lab dependency |
Severe malangulation |
|
Angulated Screw Channel |
Up to 25° |
Preserves retrievability |
Material thickness needed |
Anterior esthetics |
|
Cross-Pin Prosthesis |
Variable |
Mechanical retention |
Technical complexity |
Severely tilted implants |
|
Implant-Supported Removable prostheses |
Multiple implants |
Cost-effective |
Patient compliance |
Multiple malpositions |

Figure 1. Retained root adjoining the dental implant.

Figure 2. Closely placed implant impression copings.

Figure 3. Periapical infection near dental implant.
CONCLUSION
Malpositioned implants occur in approximately 5–15% of clinical cases and remain a significant prosthetic challenge despite advances in digital implantology. While mild to moderate angulation discrepancies can often be managed predictably with angled or customized abutments and angulated screw channel systems, severe misalignment may compromise esthetics, biomechanics, and long-term maintenance.
Evidence suggests increased screw loosening and stress concentration with excessive angulation correction, emphasizing the need for biomechanical prudence. Implant-supported removable solutions provide viable alternatives in cases involving multiple malpositions.
Ultimately, prosthetic management serves as a valuable salvage strategy; however, prevention through prosthetic-driven planning remains the gold standard. When prosthetic compensation exceeds biomechanical limits, surgical intervention may be unavoidable.
REFERENCES