Mathews Journal of Dentistry

2474-6843

Previous Issues Volume 9, Issue 1 - 2025

Fibrosarcoma of the Mouth – Insights from a Left Buccal Mucosa Case Report

Kriti Shrivastava1,*, Manas Gupta2, Ajita Singh3, Hina Handa4, Poorva Tiwari5

1,2,3,5Department of Oral Medicine and Radiology, Rishiraj College of Dental Sciences & Research Centre, Bhopal, Madhya Pradesh, India

4Department Oral Medicine and Radiology, Peoples Dental Academy, Bhopal, Madhya Pradesh, India

*Corresponding Author: Dr. Kriti Shrivastava, Department of Oral Medicine and Radiology, Rishiraj College of Dental Sciences & Research Centre, Bhopal, Madhya Pradesh, India, Tel: 0755-4007086, Email: [email protected]

Received Date: June 05, 2025

Published Date: July 08, 2025

Citation: Shrivastava K, et al. (2025). Fibrosarcoma of the Mouth – Insights from a Left Buccal Mucosa Case Report. Mathews J Dentistry. 9(1):58.

Copyrights: Shrivastava K, et al. © (2025).

ABSTRACT

A malignant tumour of the fibroblasts that lacks cellular differentiation is called fibrosarcoma. It has the potential to spread and recur. Fibrosarcomas are uncommon, although they can develop anywhere in the body. The retroperitoneum, thigh, knee, and distal extremities are where they most frequently occur. In the head and neck area, fibrosarcoma is uncommon and accounts for 1% of all cancers. Just 0.05% of all human fibrosarcomas are found in the head and neck area. The oral cavity is home to about 23% of fibrosarcomas, which typically have a dismal prognosis with an overall survival rate of 20–35% during a 5-year period. Here, we report a patient who is 21 years old and has buccal mucosal fibrosarcoma.

Keywords: Sarcoma, Fibrosarcoma, Oral Cavity, Buccal Mucosa, Mandible Malignancy.

INTRODUCTION

The occurrence of intraoral fibrosarcomas is exceedingly rare, but sometimes it may serve as a primary location for connective tissue malignancies. Fibrosarcoma is a malignant tumor originating from fibroblasts, accounting for approximately 1% of all malignancies in humans, with only 0.05% occurring in the head-and-neck region [1-3]. In adults, fibrosarcoma is predominantly observed in the fifth decade of life, with a slight male predominance; the common sites affected include the deep soft tissues of the extremities, trunk, and head-and-neck region. The typical presentation of fibrosarcoma is a nonspecific soft-tissue mass, often associated with prior radiation exposure in the area; trauma, foreign bodies, fibrous dysplasia, Paget’s disease, and chronic osteomyelitis. Fibrosarcomas are aggressive lesions that can lead to multiple local recurrences as well as lymph node and parenchyma metastases. There have been documented cases of fibrosarcoma affecting the mandible, maxilla, maxillary sinus, and gingiva. The clinical presentation of the lesion can range from lobulated, sessile, painless submucosal masses to aggressive, erythematous ulcerated lesions. Regardless of the clinical appearance, fibrosarcoma tends to destroy the underlying bone and is associated with varying levels of pain and numbness in the affected area.

CASE REPORT

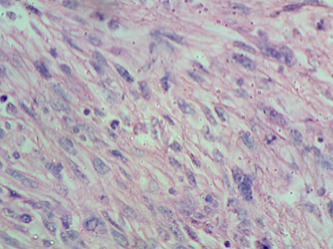
A 21 year old male patient reported to the department of Oral Medicine and Radiology with the chief complaint of swelling on left side of face for past three months (Figure 1). He initially noticed a small nodular growth on left cheek region which has increased to the present size. On clinical examination a solitary innocuous, lobulated, sessile, painless and non-hemorrhagic mass with soft consistency was protruding from the left side of mouth. The growth was associated with restricted mouth opening, difficulty in speaking and mastication (Figure 2). Examination of lymph nodes revealed ipsilateral submandibular lymph nodes were enlarged, non tender and fixed to underlying tissue. Patient gave the history of consumption of 10-15 packets of gutkha for past 7-8 years, bidi smoking (1-2 packets of bidi per day) and occasional consumption of alcohol. On the basis of the patient’s history and clinical examination a preliminary/tentative diagnosis of malignancy involving the left buccal mucosa was considered. Standard radiological and haematological (Figure 3) examinations were performed, but no noteworthy results were found. Later, incisional biopsy was done under local anesthesia and histopathological findings revealed parakeratinized stratified squamous epithelium which appeared normal in architecture with hyalinized connective tissue stroma. Beneath the hyalinized stroma, the tumor mass showed proliferating cells arranged in interlacing fascicles. High power view showed plump and proliferating spindle cells arranged in interlacing fascicles giving a herring bone pattern. The tumor cells were pleomorphic with hyperchromatic nucleus and a few cells had vesiculated nucleus with multiple nucleoli. It was determined by these results that the condition was moderately differentiated fibrosarcoma (Figure 4,5&6).

Figure 1. Extra Oral Photograph showing the swelling on left side of face.

Figure 2. Intra Oral Photograph showing hemorrhagic mass protruding from the left side of the mouth.

Figure 3. OPG showing no relevant finding.

Figure 4. H&E section (40X) showing surface epithelium with underlying tumor mass.

Figure 5. H&E section (100X) showing spindle cells arranged in Herring bone pattern.

Figure 6. H&E section (1000X) showing pleomorphic spindle cells.

One week after incisional biopsy, the patient reported back with a rapidly growing extensive exophytic growth measuring 6cm x 3.5 cm protruding from the left side of the angle of mouth. The overlying mucosa was erythematous and associated with blood encrustations. The consistency of the growth was soft to firm with profound bleeding on palpation (Figure 7). Considering the histopathological report and aggressiveness of the clinical behaviour, the patient immediately was referred to the cancer institute for further management and it was lost for follow up later.

Figure 7. Post incisional biopsy photograph showing sudden and excessively proliferated mass.

DISCUSSION

Fibrosarcoma has been defined as a malignant mesenchymal tumor, the cells of which resemble the normal fibroblasts [1,4]. The sarcomas are more fatal in comparison to malignant epithelial neoplasms because they easily metastasize through the blood rather than the lymphatics and resulting in extensive and widespread foci of secondary tumor growth [5]. It might manifest as a primary or secondary bone tumour or as a soft tissue growth. Less than 1% of malignancies in the oral and maxillofacial region are soft tissue sarcomas [6]. Although fibroblast cancers are extremely uncommon in the oropharyngeal region, fibrosarcoma—which accounts for more than half of all sarcomas—is the most prevalent mesenchymal cancer in this area. Just 0.05% of all human fibrosarcomas are found in the head and neck area. Of these, the oral cavity accounts for 23% of head and neck fibrosarcoma cases [7].

The exact etiology of fibrosarcoma is not entirely understood and remains uncertain. However, several studies have implicated that genetic alterations of fibroblast can be a cause for some fibrosarcomas. Radiation therapy has been identified as the primary risk factor, which is followed by heat-related tissue damage, trauma to scarred tissues, and underlying bone disorders such fibrous dysplasia, chronic osteomyelitis, or Paget's disease [5,7].

Fibrosarcomas can occur at any age but common in young adults and children [4]. It has a stronger prediliction for men [6]. Soft tissue fibrosarcoma has ill-defined borders and manifests as a big, painless lump that lies deep inside the fascia. The duration is often shorter than with lesions involving bone [5]. Although it can affect any part of oral cavity but more commonly involved are the buccal mucosa, tongue and alveolus. There is a range of symptoms which include pain, swelling or ulceration depending on site, location and spread of tumor [7]. It is often present as slow growing mass that may reach considerable size before it produces pain [6]. Involvement of the temporomandibular joint or associated musculature is often accompanied by trismus [8].

Soft tissue fibrosarcomas in the mouth appear as a benign, lobulated, sessile, painless, non-haemorrhagic submucosal mass with a normal colour. Aggressive fibrosarcomas, on the other hand, are quickly growing haemorrhagic masses that resemble ulcerated pyogenic granuloma, peripheral giant cell granuloma, or peripheral ossifying fibroma in terms of clinical presentation [7]. Radiographically intraosseous fibrosarcoma of the jaws occur more commonly in the mandibular premolar-molar region and expands in anteroposterior direction through marrow space with ill- defined borders [8].

A herringbone pattern is typically formed by fascicles of spindle-shaped cells in histopathologically well-differentiated fibrosarcomas. In comparison to well-differentiated tumours, poorly differentiated tumours have less organised cells that can have an oval or rounded shape, minor pleomorphism, increased mitotic activity, and a tendency to make less collagen [6]. The differential diagnosis of fibrosarcomas may include spindle cell tumours, and an appropriate diagnosis may only be made by immunohistochemical analysis and meticulous study of several sections and specific stains [1]. The preferred course of treatment for fibrosarcoma is radical surgery. Chemotherapy and radiotherapy might be used as palliative care or in cases that are not treatable. Tumour size, histology grade, and appropriate surgical therapy with no side effects all directly affect prognosis [2,3,9].

CONCLUSION

It is very difficult to differentiate between low grade fibrosarcoma and other types of spindle cell sarcomas, or fibromatosis. Careful microscopic examination with accurate sampling and practical experience of pathologist is required to render the correct diagnosis. An accurate diagnosis is imperative since it changes the line of treatment.

ACKNOWLEDGEMENTS

None.

CONFLICTS OF INTEREST

The authors declare that there are no conflicts of interest.

REFERENCES

  1. Goldblum JR. (2001). Fibrosarcoma. In: Weiss SW and Goldblum JR, (eds). Enzinger and Weiss’s Soft tissue tumors. Mosby, Inc. An Imprint of Elsevier Science. pp. 409-440.
  2. Kaur H, Gupta V, Mishra D, Yadav VS. (2022). Fibrosarcoma: Origin, differential diagnosis, and report of a case in the mandible. J Indian Soc Periodontol. 26(2):169-177.
  3. Hrishi TS, Vadakkekuttical RJ, Kanakath H, Shameena PM, Puthiyapurayil S. (2023). Fibrosarcoma of the gingiva: A rare entity. J Indian Soc Periodontol. 27(3):328-331.
  4. Adamicova K, Statelova D, Ahmed El Akkad, Fetisovova Z, Mellova Y. (2011). Retromolar Fibrosarcoma - A Diagnostic Dilemma Case Report. Acta Medica Martiniana. 11(3):33-38.
  5. Rajendran R. (2005). Benign and Malignant Tumors of the Oral Cavity. In: Rajendran R and Sivapathasundharam B, (eds) .Shafer’s Textbook of Oral Pathology. Elsevier A Division of Reed Elsevier India Private Limited. pp. 220-222.
  6. Neville BW. (2004). Soft Tissue Sarcomas. In: Neville BW, Damm DD, Allen CM and Bouquot JE, (eds). Oral & Maxillofacial Pathology. Saunders An Imprint of Elsevier. A Division of Reed Elsevier India Private Limited. pp. 480.
  7. Wadhwan V, Chaudhary MS, Gawande M. (2010). Fibrosarcoma of the oral cavity. Indian J Dent Res. 21(2):295-298.
  8. Wood RE. (2004). Malignant Diseases of the Jaws. In: White SC and Pharoah MJ, (eds). Oral Radiology. Principles and Interpretation. Mosby An Imprint of Elsevier. A Division of Reed Elsevier India Private Limited. pp. 474-475.
  9. Soares AB, Lins LH, Macedo AP, Pereira-Neto JS, Vargas PA. (2006). Fibrosarcoma originating in the mandible. Med Oral Patol Oral Cir Bucal. 11(3):E243-E246.

Creative Commons License

© 2015 Mathews Open Access Journals. All Rights Reserved.

Open Access by Mathews Open Access Journals is licensed under a
Creative Commons Attribution 4.0 International License.
Based On a Work at Mathewsopenaccess.com